Ictal nystagmus is an infrequent manifestation of epileptic seizures consisting in repetitive and rhythmic eye movements.1
We present the case of a female term neonate who, at 24 h post birth, exhibited left-sided horizontal saccadic eye movements associated with a transient period of hypotonia (Appendix A, video and Fig. 1). The relevant history consisted of a previous pregnancy terminated due to an unspecified brain malformation.
The neonate was admitted to the neonatal intensive care unit, where she experienced six similar episodes associated with rigidity of the lower extremities. She required treatment with phenobarbital and levetiracetam to control the episodes.
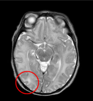
The electroencephalogram revealed bilateral temporal paroxysmal discharges and the brain MRI a discrete hyperintensity in the right posterior temporal subcortical white matter on T2-weighted imaging (Fig. 2).
During the stay, ophthalmological, metabolic and structural causes were ruled out. The patient continued treatment with phenobarbital and levetiracetam after discharge, with a favorable outcome. The genetic study (next generation sequencing epilepsy/seizure panel) detected a variant of uncertain significance in the SCN3A gene (c.3301G>A p. (Val1101Ile)), which has been reported in association with epilepsy and/or brain malformations of varying severity.2,3
This case highlights nystagmus as a rare and subtle manifestation of epileptic seizures that can go unnoticed when clinicians do not know of it.
The authors have no conflicts of interest to declare.




