La aortitis séptica (AS) es una patología infrecuente en pacientes pediátricos. Los signos y síntomas son inespecíficos por lo que requiere un alto índice de sospecha para diagnosticarlo si se quieren evitar sus complicaciones letales. Presentamos el primer caso de aortitis séptica estafilocócica en el servicio de Pediatría Oncológica del Hospital SOLCA, Quito-Ecuador.
Se trata de un niño de 8 años de edad, que 7 días antes de su ingreso a nuestro servicio, es hospitalizado por 3 días en otra institución debido a fiebre de causa no precisada. Ante la sospecha de una enfermedad oncohematológica, ingresa a nuestro hospital con fiebre acompañada de lesiones purpúricas en extremidades y tronco. Además síntomas como: astenia, mialgias, artralgias, vómito y dolor abdominal superior. Se encontraron antecedentes de ictericia, epistaxis bilateral, y lesiones costrosassangrantes en mucosas orales. No antecedentes previos de enfermedades infecciosas, inmunodepresión o alteraciones oncohematológicas.
El examen físico de ingreso reveló fiebre de 38,7°C, ictericia y lesiones purpúricas diseminadas, siendo más notorias en los pies (fig. 1). Los pulsos eran firmes y fácilmente palpables en las 4 extremidades. En la auscultación pulmonar se encontró una disminución de la entrada de aire a derecha.
La analítica del ingreso reveló leucocitosis, trombocitopenia, hiperbilirrubinemia y PCR elevado. La radiografía de tórax reportó ensanchamiento mediastinal. El aspirado de médula ósea (AMO) descartó leucemia aguda.
Desde su ingreso el paciente recibió antibioticoterapia de amplio espectro para un niño oncológico febril (ceftriaxona y amikacina). Al descartar leucemia aguda mediante el AMO y al encontrar cocos Gram positivos en los hemocultivos, se asoció vancomicina. Tres cultivos de sangre periférica, el urocultivo y el cultivo de médula ósea resultaron positivos para Staphylococcus aureus sensible a vancomicina.
Al quinto día de hospitalización el paciente fue admitido a la Unidad de Cuidados Intensivos Pediátricos (UCIP) por aumento de la dificultad respiratoria, hipoxemia y acidosis respiratoria. A su ingreso se encontró palidez generalizada, taquicardia, hipertensión arterial (150/75), ruidos cardiacos hipofonéticos, abdomen doloroso, hepatomegalia y ausencia de ruidos hidroaéreos. Los pulsos de las extremidades superiores fueron de amplitud aumentada y los de las extremidades inferiores ausentes con perfusión distal disminuida.
Un nuevo hemograma mostró caída considerable de la hemoglobina, duplicación de la leucocitosis, hiperglicemia y tiempos de coagulación prolongados.
En la radiografía de tórax se observó derrame pleural bilateral de predominio izquierdo. Se realizó una toracocentesis obteniéndose 500ml de sangre, y se colocó un tubo torácico. El análisis citoquímico revelo la presencia de cocos Gram-positivos.
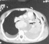
Una tomografía axial computarizada (TC) reveló un hematoma mediastínico con extravasación del contraste radiológico en este sitio a partir de la aorta (fig. 2). Se evidenció también colecciones de densidad hemática en abdomen, pelvis y retroperitoneo (fig. 3).
El cuadro clínico progresó en forma fulminante a dificultad respiratoria severa e inestabilidad hemodinámica que no se corrigió con fluidos, drogas inotrópicas, vasoactivas, ni transfusión de hemoderivados. El cultivo del líquido de hemotórax también fue positivo para S. aureus. No se realizó necropsia.
Las infecciones bacterianas de la aorta son infrecuentes en los niños. Se han postulado varios mecanismos de infección: 1) extensión directa desde un foco cercano, 2) siembra bacteriana hematógena desde un foco distante y 3) contaminación traumática1. La bacteremia permite que la carga bacteriana tome el endotelio vascular, dando paso a su consecuente infección2. Posteriormente se puede dar la formación de un aneurisma. Wilson describe la diferencia entre un «aneurisma infectado», donde un aneurisma preexistente se infecta, y un «pseudoaneurisma», que es la dilatación de una arteria normal o ateromatosa infectada (arteritis infecciosa). Estos pseudoaneurismas tienden a ser más propensos a la ruptura o formación de fístulas hacia estructuras vecinas3.
La mortalidad de la AS es del 14–100%, por la exposición de la aorta infectada a una rápida expansión y subsecuente ruptura4.
La AS en niños tiene una presentación atípica y fatal. La clásica presentación del adulto de una masa abdominal pulsátil acompañada de fiebre es muy rara. Generalmente el cuadro es subagudo con dolor lumbar y abdominal progresivo y fiebre durante varias semanas3.
Pueden existir signos característicos dependiendo del nivel de la aorta que esté comprometido. La ausencia o disminución de los pulsos en extremidades es compatible con un aneurisma disecado o accidentado. La auscultación cardiaca y pulmonar abolida o disminuida puede mostrar perforación de la aorta infectada. Las lesiones tipo púrpura palpable y dolorosa (nódulos de Osler), pueden representar émbolos colonizados por bacterias y confirmar el diagnóstico más rápido que un hemocultivo5.
El diagnóstico oportuno de la AS requiere un alto índice de sospecha. El examen de elección es la TC. El hallazgo de aire periaórtico aun que no muy común, es patognomónico de una infección aórtica6.
El tratamiento quirúrgico consistente en resección del aneurisma mas debridamiento, seguido de colocación de una prótesis vascular in situ o angioplastia con parche de epiplón, dependiendo de la localización de la lesión7,8.





