Sr. Editor:
El secuestro pulmonar es una malformación congénita poco frecuente, definida como una zona de tejido pulmonar displásico, no funcionante, con vascularización arterial sistémica1. Se describen dos variedades: el extralobular, con una envoltura pleural independiente y drenaje venoso sistémico (ácigos o hemiácigos), y el intralobular, rodeado de tejido pulmonar normal, con el que comparte la pleura visceral y drena a las venas pulmonares2. La angiografía por resonancia magnética (angio-RM) ha mostrado ser un método válido, tanto para el diagnóstico como para la evaluación prequirúrgica. Presentamos un caso de secuestro pulmonar intralobular en una paciente cuyo diagnóstico se estableció mediante angio-RM.
Niña de 9 años hospitalizada por fiebre de 39 °C de 24 h de evolución, tos, dolor torácico y antecedente de neumonía en lóbulo inferior izquierdo de un mes de evolución, presentando durante este período fiebre intermitente, tos irritativa y dolor torácico que mejoran transitoriamente con diferentes antibióticos. No presenta antecedentes de atragantamiento. Como antecedentes personales refiere catarros comunes asociados a tos, sin sibilancias. De los antecedentes familiares destaca que ambos padres son fumadores y el padre padeció tuberculosis en su infancia. En la exploración clínica se aprecia disminución de la ventilación en base izquierda, con crepitantes. En estudios analíticos se detecta leucocitosis con neutrofilia: 18.000 (polimorfonucleares: 74 %) y proteína C reactiva menor de 5. El hemocultivo fue negativo. Los valores de coagulación, a1-antitripsina en suero, cloruros en sudor y estudios serológicos de Mycoplasma/Chlamydia fueron normales. La prueba de tuberculina y el Prick-test con batería estándar de neumoalérgenos fueron negativos. Al electrocardiograma y espirometría (FEV1: 118 %; FVC: 127 %; FEV1/FVC: 88 %; FEF 25-75 %: 109), fueron normales.
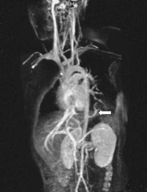
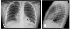
La radiografía de tórax, en inspiración y espiración (fig. 1), evidenció consolidación en lóbulo inferior izquierdo (asterisco), sin adenopatías mediastínicas ni signos de atrapamiento aéreo que sugirieran cuerpo extraño. En la TC torácica helicoidal sin contraste se confirmó una neumonía-atelectasia en lóbulo inferior izquierdo, sin derrame, adenopatías ni alteraciones en árbol traqueobronquial. El estudio de angio-RM reveló una consolidación en lóbulo inferior izquierdo, hacia la que se dirige un vaso (flecha) originado en la aorta torácica descendente, por encima del orificio diafragmático y que constituye un vaso arterial nutricio (fig. 2).
Figura 1. A) Tórax. B)Tórax lateral.
Figura 2. Angio-RM.
Estos hallazgos nos permitieron confirmar la sospecha diagnóstica de secuestro pulmonar intralobular.
Se practicó una lobectomía izquierda, con ligadura y sección de la arteria aberrante.Se conoce como secuestro pulmonar a una masa de tejido pulmonar embrionario, quístico y carente de función, cuyo riego sanguíneo procede totalmente de la circulación general, normalmente de la aorta torácica (74 %), o abdominal (19 %), arterias intercostales (3 %) y, ocasionalmente subclavia, mamaria interna, celíaca y otras1,2. La variedad intralobular, es la más frecuente y es responsable de aproximadamente un 75 % de los casos3. Puede observarse a cualquier edad pero se diagnostica con mayor frecuencia en niños y adultos jóvenes, siendo más frecuente en varones4. El segmento posterobasal del lóbulo inferior es el más frecuentemente afectado, aunque se han descrito en cualquier lóbulo4. A diferencia de los extralobulares no suelen acompañarse de otras alteraciones pulmonares, aunque se han descrito casos asociados a enfisema lobular congénito y malformación quística adenomatoidea5. Desde el punto de vista clínico, en el 90 % de las ocasiones se manifiesta como infecciones pulmonares de repetición4,6. Radiológicamente suele manifestarse como una opacidad homogénea o masa situada en un lóbulo inferior (98 % de los casos), casi siempre el izquierdo7. Pueden apreciarse lesiones quísticas e incluso vasculares que sugieran el diagnóstico o hallazgos menos específicos como neumonías recurrentes o bronquiectasias8. El diagnóstico diferencial de neumonía recurrente de la misma localización6 incluye la aspiración de cuerpo extraño, bronquiectasias, alteraciones o compresiones extrínsecas de la vía aérea (adenopatía, tumor), enfisema lobular congénito, malformación adenomatoidea quística o quiste broncogénico, pudiendo también incluir, por los hallazgos radiológicos, tumoraciones, hernia diafragmática o bazo accesorio9. En nuestro caso, la ausencia de antecedente de aspiración descartaba esta posibilidad, al igual que las bronquiectasias, compresiones extrínsecas del árbol bronquial y enfisema lobular congénito quedaron descartadas mediante las exploraciones radiológicas (radiografías de tórax y TC pulmonar). Si las radiografías repetidas de tórax aportan datos compatibles con este proceso, está indicado efectuar otras técnicas de imagen antes de la intervención10. El diagnóstico definitivo requiere la demostración del vaso arterial aberrante y el drenaje venoso anómalo8,9 que excluyen otras alteraciones tales como la malformación adenomatoide quística o el quiste broncogénico9.
La angio-RM se ha demostrado eficaz para demostrar la anatomía vascular, el curso de la arteria aberrante, las ramas de ésta dentro del secuestro y las venas de drenaje5, por lo que es posible utilizarla para diagnosticar y clasificar el secuestro, reuniendo suficiente información para planificar el tratamiento quirúrgico, que es lo que planteamos en nuestro caso. Este caso nos sugiere que ante una neumonía persistente localizada en base pulmonar, fundamentalmente izquierda, conviene descartar el secuestro pulmonar y que la angio-RM proporciona el diagnóstico definitivo sin necesidad de técnicas invasivas.
Correspondencia: Dr. M. Tortajada Girbés.
Servicio de Pediatría. Hospital Universitario Dr. Peset.
Avda. Gaspar Aguilar, 90. 46017 Valencia. España.
Correo electrónico: migueltortajada@eresmas.com




