Sr. Editor:
La solución de polietilenglicol (PEG) ha sido utilizada como evacuante intestinal previo a procedimientos quirúrgicos, colonoscopias y biopsias digestivas, además de emplearse en el tratamiento del estreñimiento crónico (desimpactación) y como descontaminante intestinal. Se ha considerado una técnica segura tanto en niños como en adultos, que no da problemas de absorción1. Sin embargo la administración de PEG puede provocar náuseas, vómitos, sensación de plenitud así como otras complicaciones menos frecuentes como reacción alérgica, angioedema, perforación, pancreatitis, arritmia ventricular, etc.2. La presencia de sonda nasogástrica (SNG) y vómitos puede favorecer la migración a esófago de la sonda y la consiguiente aspiración pulmonar1. El objetivo de la publicación es contribuir al incremento de la bibliografía existente sobre los problemas asociados a la administración de PEG, así como alertar de la necesidad de cumplir el procedimiento adecuado para su utilización.
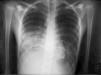
Se trata de un niño de 12 años y 38 kg de peso, ingresado para realización de endoscopia digestiva con cápsula en el contexto del estudio de un sangrado digestivo no filiado. Como preparación del procedimiento a realizar se inició administración de solución evacuante de PEG por SNG. Tras haber administrado un litro de la solución en un espacio de 60 min presentó vómitos, sensación de plenitud, dolor costal derecho y dificultad respiratoria con hipoxia (saturación de oxígeno al 80 %). En la radiografía de tórax se observó condensación alveolointersticial granular bibasal (fig. 1), sin que se encontraran alteraciones significativas en la bioquímica plasmática ni en el hemograma, siendo la proteína C reactiva (PCR) de 0,5 mg/dl. Se procedió a traslado a UCIP donde se instauró tratamiento con oxígeno suplementario, antibioterapia (clindamicina y ceftacidima intravenosas) junto con metilprednisolona, consiguiendo remisión de la clínica y adecuada oxigenación. Posteriormente, presentó picos febriles y elevación de la PCR hasta 25 mg/dl. La evolución fue favorable, cediendo la fiebre y pudiendo retirar el aporte de oxígeno suplementario tras 72 h, lo que permitió su paso a planta de hospitalización. Al alta, tras 2 semanas de ingreso hospitalario la resolución tanto clínica como radiológica fue completa.
Figura 1. Radiografía de tórax: neumonía aspirativa bibasal.
La administración de PEG no es una técnica exenta de riesgos en niños. Es recomendable asegurar la correcta localización de la SNG3 mediante radiología, comprobación de pH gástrico o auscultación; así como mantener un ritmo de infusión adecuado (inicio 5 ml/kg/h e incrementos de 5 en 5 hasta máximo de 20 ml/kg/h). Tras la administración de la solución de PEG hay que vigilar estrechamente los posibles signos de aspiración, prestando especial atención a niños con problemas neurológicos. El tratamiento conservador con oxígeno, corticoides y antibióticos sería la primera medida siempre que la situación clínica del paciente lo permita y se pueda realizar una estrecha vigilancia del mismo. En ocasiones, es preciso el tratamiento mediante ventilación mecánica no invasiva o invasiva. En caso de deterioro respiratorio rápidamente progresivo se recomienda lavado broncoalveolar precoz, lo que permite evitar el edema pulmonar y el daño parenquimatoso secundario consiguiendo también disminuir el tiempo de ventilación mecánica y hospitalización1,2. En nuestro caso el tratamiento médico conservador, sin necesidad de lavado ni ventilación mecánica, fue suficiente para resolver la incidencia.
Correspondencia: Dr. J. Gil Antón.
Unidad de Cuidados Intensivos Pediátricos. Hospital de Cruces.
Pl. de Cruces, s/n. 48903 Barakaldo. Bilbao. España.
Correo electrónico: jgil@hcru.osakidetza.net.



