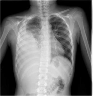
Varón de 10 años que acude por fiebre y tos de una semana de evolución, sin hallazgos en la exploración física se realiza PCR de COVID-19, que es negativa, y se envía a domicilio. A los 12 días reconsulta y en la exploración presenta hipoventilación en hemitórax derecho. En la analítica sanguínea destaca una PCR 123 mg/L; LDH 327 U/L; coagulación con: TP 58% y dímero D 5.825 ng/mL. Test rápido (ICT) con resultado positivo y PCR negativa. En la radiografía de tórax (fig. 1), se observa opacidad extensa en el hemitórax derecho con derrame pleural ocupando aproximadamente el 50% del mismo. En la ecografía torácica se comprueba derrame pleural de 7,5 cm de grosor en base pulmonar (fig. 2). Ante sospecha de COVID-19 grave, se inicia antibioterapia i.v., dosis de vitamina K y heparinas de bajo peso molecular (HBPM). A las 48 h presenta necesidad de oxígeno y empeoramiento del derrame. Se coloca drenaje pleural. El análisis bioquímico del líquido pleural presentaba leucocitos 588/uL con 93% de linfocitosis, ADA 200, proteínas 5,7 g/dL, LDH 718. Se establece diagnóstico de presunción de tuberculosis. Se realizan pruebas Mantoux (25 mm a las 72 h) (fig. 3) y QuantiFERON, que son positivas. Recibe tratamiento antituberculoso con isoniazida, rifampicina, pirazinamida y etambutol durante dos meses, seguido de cuatro meses con isoniazida y rifampicina. La evolución del paciente es favorable, se solicita test serológico ELISA, encontrándose IgG e IgM negativas.
Estudios de imagen. Radiografía simple de tórax. Opacidad extensa en el hemitórax derecho con semiología de derrame pleural (ocupando aproximadamente el 50% del hemitórax), con imágenes compatibles con condensación alveolar en campo medio del pulmón. Ausencia de imágenes derrame pleural o condensaciones en parénquima pulmonar izquierdo.
Estudios de imagen. Ecografía torácica: Derrame pleural de hasta 7,5 cm de grosor en la base pulmonar derecha (desde línea media axilar), y de hasta 4 cm de grosor en campo medio derecho. El derrame es predominantemente anecoico, con algunos finos tabiques hiperecogénicos. Se observa alguna zona compatible con parénquima pulmonar condensado/atelectásico en profundidad al derrame.
Debido a la pandemia, los test frente a COVID-19 son muchos y variados. La variabilidad en los resultados y la diversidad de la sintomatología en el paciente pediátrico hace que tengamos que tener presente todas las posibilidades diagnósticas. El derrame pleural tuberculoso muchas veces tiene un diagnóstico difícil por la falta de aislamiento microbiológico1–3.





