Sr. Editor:
La disección arterial cervicocefálica es una causa infradiagnosticada de accidente cerebrovascular isquémico en los niños1,2. La disección espontánea de la arteria vertebral es una causa poco frecuente de isquemia vertebrobasilar, y es la causante del 4% de los casos de infarto isquémico3. Presentamos un ictus isquémico secundario a disección de la arteria vertebral izquierda.
Paciente varón de 5 años sin antecedentes personales ni familiares de interés, que presenta un cuadro agudo de disminución del nivel de consciencia con desviación de la comisura bucal y de la mirada hacia la derecha y pérdida de fuerza en el hemicuerpo izquierdo. Refiere un traumatismo craneal leve 2 días antes del ingreso sin aparente repercusión. La exploración demuestra, entre otros datos, desviación de la mirada y de la comisura bucal a la derecha, disartria, temblor intencional y dismetría bilateral.
Se realiza la analítica indicada en un ictus en paciente joven3,4 sin que se encuentren hallazgos significativos. La radiografía de tórax y las ecocardiografías transtorácica y transesofágica resultaron normales. Tras realizar la tomografía computarizada (TC) craneal (durante las primeras 24h del ingreso), se añade tratamiento antiagregante con ácido acetilsalicílico (5mg/kg/día). También al ingreso presenta movimientos clónicos en el hemicuerpo izquierdo con confirmación en el electroencefalograma de alteraciones epileptiformes, por lo que se inicia tratamiento con levetiracetam, con buena respuesta clínica y normalización del trazado.
Las pruebas de neuroimagen realizadas en el ingreso fueron las siguientes:
TC craneal: se aprecian áreas hipodensas compatibles con isquemia en región temporooccipital derecha (territorio de la arteria cerebral posterior) y región de la arteria posteroinferior cerebelosa izquierda y derecha.
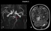
Resonancia magnética (RM) craneal: confirma las lesiones descritas y añade nueva lesión isquémica en el tálamo derecho. De cara al diagnóstico etiológico, ante la diversidad de localizaciones isquémicas y la ausencia de lesiones en el territorio de la arteria cerebral posterior izquierda, se decide realizar un nuevo control de RM craneal y angiografía por RM (Angio-RM) de los troncos supraaórticos (TSA) tras contraste intravenoso al sexto día del ingreso, con lo que se confirma una trombosis vertebral izquierda debida a un cuadro de disección de la arteria vertebral, con suelta embolígena distal al territorio vascular basilar (figura 1,figura 2). En esta última figura se puede apreciar la variante anatómica que explica la ausencia de infarto en el territorio cerebral posterior izquierdo: un origen «fetal» de la arteria cerebral posterior izquierda con salida directa de la carótida.
Figura 1. Estudio de angiografía por resonancia magnética de troncos supraaórticos tras contraste intravenoso. A) Arteria vertebral (AV) derecha normal y ausencia de flujo en segmentos V1, V2 de AV izquierda. B) Irregularidad en la pared de la AV izquierda y flujo distal filiforme en los segmentos V3 y V4 (flechas), indicativos de disección vertebral. La arteria carótida externa, el tronco basilar y la arteria cerebral posterior derecha son permeables.
Figura 2. Estudio de angiografía por resonancia magnética de troncos supraaórticos tras contraste intravenoso. A) Variante anatómica que explica la ausencia de infarto en el territorio cerebral posterior izquierdo: un origen «fetal» de la arteria cerebral posterior izquierda (flecha), con salida directa de la carótida, que asocia un segmento P1 hipoplásico (punta de flecha). B) Secuelas de infartos en el territorio de la arteria cerebral posterior derecha, con áreas de necrosis laminar y gliosis e infarto en el territorio de la arteria cerebelosa posteroinferior izquierda. Había otro infarto en el territorio de la arteria cerebelosa posteroinferior derecha que no se aprecia en la imagen 2B pero sí en otros cortes.
Al alta, el paciente continúa antiagregado y en rehabilitación, con una clara mejoría de los signos neurológicos.
La disección arterial se produce cuando la sangre diseca a través de un defecto en la capa de la túnica íntima, se desplaza del resto de la pared arterial y crea un hematoma intramural3. Este falso canal puede producir una reducción significativa o la obstrucción del flujo sanguíneo anterógrado. El trombo intramural puede embolizar y producir infartos en el cerebro o el cerebelo3. La lesión en las arterias vertebral y carótida cervical generalmente es traumática; no obstante, como en el caso presentado, el traumatismo puede ser trivial o dudoso y a veces el desencadenante es tan sólo un esfuerzo físico3,4,5,6, por lo que en la patogenia se ha implicado un posible defecto estructural de la pared arterial6.
El dolor de cabeza, frecuente en adultos con disección arterial, lo es mucho menos en niños, tal y como sucede en el caso descrito, y son más frecuentes los signos y los síntomas relacionados con isquemia, especialmente la hemiparesia2. Las disecciones intracraneales son más frecuentes en la circulación posterior, tal y como ocurre en el niño comentado3. El pronóstico de las disecciones arteriales complicadas con ictus depende principalmente de la gravedad de la isquemia, de la extensión y de la topografía de la lesión cerebral más que del proceso arterial específico5,7. El paciente presentado mostró lesiones cerebrales exclusivamente en el territorio cerebral posterior derecho, ya que, por fortuna, presentaba una rara variación anatómica, lo que ha facilitado una recuperación mucho más rápida desde el punto de vista ocupacional y un mejor pronóstico funcional a largo plazo.
Dado que hay ciertas pruebas indirectas de que la anticoagulación podría reducir la probabilidad de nuevos embolismos distales, la disección arterial cervicocefálica puede tratarse con anticoagulantes (evidencia grado 2C)1,4,8, aunque algunos profesionales prefieren evitarlos debido al riesgo de hemorragia subaracnoidea1 y a que la validez de este tratamiento no está probada en estudios aleatorizados suficientemente extensos1. Es más, la tendencia actual más generalizada es usar la antiagregación como tratamiento inicial en los pacientes con disección arterial supraaórtica9,10.
Como conclusión, con este caso queremos llamar la atención sobre el valor de la Angio-RM de TSA tras contraste intravenoso que puede, en algunos casos, sustituir a la angiografía convencional y proporcionar datos específicos sobre la etiología y las posibles variaciones anatómicas (que influyen en el pronóstico) de pacientes con accidentes isquémicos en el territorio posterior1.




