Sr. Editor:
Los quistes epiploicos son lesiones intraabdominales raras que con frecuencia evolucionan como una masa abdominal asintomática, aunque en ocasiones pueden ser causa de abdomen agudo en el niño. Representan la variable menos común de los quistes abdominales de origen intestinal1.
Niño de 3 años y 7 meses que consulta por dolor abdominal inespecífico leve continuo de 5 días de evolución, sin asociar otra sintomatología. No presenta antecedentes personales de interés.
En la exploración física se encuentra con buen estado general. Se palpa una masa abdominal no dolorosa, desplazable, de consistencia dura y elástica, abollonada, de límites precisos y localización periumbilical baja en región derecha, que sobrepasa línea media. No presenta visceromegalias y el resto de la exploración es normal.
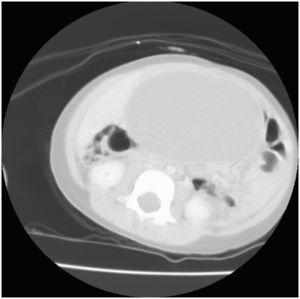
Se realiza radiografía abdominal mediante la que se observa una imagen homogénea densidad agua, con efecto de masa inframesocólica sin calcificaciones. En la ecografía abdominal se observa una masa de 20cm de diámetro de contenido líquido y con zonas hiperecoicas móviles con densidad grasa, sin poder establecer organodependencia. La tomografía computarizada (TC) abdominopélvica con contraste muestra una masa abdominal bien delimitada de predominio densidad líquido, tabicada en su polo craneal; el diagnóstico de sospecha es de quiste mesentérico (figura 1). Se realiza una gammagrafía con metayodobencilguanidina, en la que se hallaba un área de hipocaptación redondeada de localización abdominal, una gammagrafía ósea y una serie de marcadores tumorales normales.
Figura 1. Tomografía computarizada abdominal: masa abdominal homogénea bien delimitada de predominio densidad líquido.
Debido al gran volumen de la masa, se practica laparotomía media con exéresis radical de una tumoración quística de 20cm de diámetro que procede del epiplón mayor (figura 2). El estudio histológico es compatible con quiste multilocular mesotelial simple del epiplón mayor (figura 2).
Figura 2. Macroscópico: pieza constituida por una formación quística mayor y otras menores adheridas. Microscópico: cubierta epitelial uniforme y delgada del quiste (coloración hematoxilina-eosina × 100).
La incidencia de los quistes epiploicos es variable entre 1/20.000 y 1/250.000 ingresos hospitalarios pediátricos2, siendo la de los quistes mesentéricos entre 2 y 10 veces más frecuentes. Se cree que su origen embriológico es común a los quistes mesentéricos y retroperitoneales3.
Se presentan a menudo como el hallazgo de una masa abdominal palpable paucisintomática y se asocian a síntomas inespecíficos, como dolor difuso o distensión abdominal. Con menos frecuencia, pueden manifestarse en forma de complicación, como obstrucción intestinal, hemorragia o peritonitis por rotura del quiste, que provoca un cuadro de abdomen agudo, o más raramente como ascitis o seudoascitis4. En la exploración, los quistes epiploicos suelen ser uniloculares y se movilizan en cualquier dirección, mientras que los mesentéricos generalmente son multiloculares y tienen movilidad transversal. En nuestro caso, el inicio clínico fue de masa abdominal palpable y esto permitió realizar un estudio amplio previo a la cirugía.
La ecografía abdominal es la prueba de elección por su inocuidad y por su eficacia para lesiones quísticas5. Con frecuencia, se realiza previamente una radiografía de abdomen que suele ser inespecífica o incluso normal. La TC abdominal es necesaria para definir de forma óptima las características de la masa. Está justificado realizar estudio de marcadores tumorales y pruebas de medicina nuclear para descartar lesiones malignas. A nuestro paciente se le realizaron ambas y se rechazó con alta probabilidad esta eventualidad.
La técnica de elección es la exéresis quirúrgica mediante enucleación. El empleo de la vía laparoscópica dependerá del tamaño de la masa y de las complicaciones6. Se ha visto que la aspiración aislada no debe realizarse por su baja eficacia y su riesgo de complicación.
El pronóstico con la exéresis completa es muy favorable, con mínimas complicaciones quirúrgicas, mortalidad casi nula y riesgo de recidiva escaso7.
Desde el punto de vista histológico, los quistes intestinales pueden clasificarse8 en 5 grupos: a) linfangioma quístico, el más frecuente; b) seudoquiste; c) duplicación entérica quística; d) quiste dermoide, y e) quiste mesotelial.
Macroscópicamente, están bien delimitados con paredes finas con tabiques, y su contenido es seroso, hemático o con detritus. Histológicamente, los linfangiomas9 contienen tejido linfoide o muscular en su pared, a diferencia de los quistes mesoteliales. En la inmunohistoquímica, son útiles la podoplanina o D2-40 y el factor viii , indicador endotelial, presentes en el linfangioma. Tiene interés pronóstico la distinción entre el quiste mesotelial simple y el mesotelioma quístico benigno, puesto que el segundo tiene una tasa de recidiva de hasta el 48% de los casos. En nuestro paciente, a pesar de su excepcional tamaño, se describió un quiste simple epiploico y se descartó la existencia de atipias.
El diagnóstico diferencial de la masa abdominal palpable asintomática incluye desde masas de origen no tumoral, tales como una hidronefrosis o una torsión gonadal, hasta estructuras tumorales como el nefroblastoma, el teratoma quístico o el neuroblastoma10. A pesar de su rareza, el quiste epiploico gigante debe considerarse ante un paciente que presenta una masa abdominal palpable, sobre todo cuando la ecografía abdominal oriente a una formación quística, sin obviar las pruebas complementarias para un diagnóstico más certero previo a la cirugía.




