Los osteocondromas son tumores muy infrecuentes que representan menos del 0,1–0,2% de los tumores intracraneales1. Ocurren principalmente en la base del cráneo y más raramente en la región hipofisaria; el diagnóstico diferencial con otros tumores de esta área es importante. En ocasiones forman parte de enfermedades con encondromas generalizados, como la enfermedad de Ollier y el síndrome de Maffucci1–3.
Presentamos el caso de una paciente de 6 años y 11 meses que consulta por retraso en el lenguaje (déficit de vocabulario, falta de fluidez verbal y dificultades para la lectoescritura). Como único antecedente le habían diagnosticado a los 3 años enfermedad de Ollier, con extirpación de un encondroma en el cúbito izquierdo.
Presenta adecuada velocidad de crecimiento, sin clínica de alteraciones tiroideas, sin inicio puberal ni poliuria/enuresis. No presenta alteraciones en la visión, focalidad neurológica, crisis convulsivas ni otras manifestaciones clínicas. La exploración de pares craneales es normal.
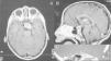
En el estudio se realiza RM cerebral, en la que se observa lesión sólida centrada en la región selar con extensión supraselar (fig. 1). A continuación se realiza tomografía computarizada (TC) con reconstrucción tridimensional: sospecha de osteocondroma selar con extensión supraselar e invasión del seno cavernoso izquierdo (fig. 2).
El estudio endocrinológico está dentro de la normalidad: ACTH de 60pg/ml, cortisol basal de 21,3μg/dl, prolactina de 16,39ng/ml, TSH de 2,43μUI/ml, T4 libre de 1,5ng/dl, T3 total de 1,46ng/ml, IGF-1 de 141ng/ml.
Ante la sospecha de encondroma, se realiza resección parcial de la lesión selar mediante cirugía transesfenoidal. La anatomía patológica confirma osteocondroma extradural del tercio anterior del clivus.
Tras intervención quirúrgica, no se constata poliuria ni polidipsia ni otras complicaciones.
DiscusiónLos encondromas son tumores benignos, de origen cartilaginoso, que habitualmente aparecen en la proximidad del cartílago de crecimiento, y su localización más frecuente son los huesos cortos de manos y pies. El síndrome de Ollier (incidencia 1/100.000) y el síndrome de Mafucci son 2 entidades en las que existe aparición de múltiples encondromas. En el segundo caso van asociados a la presencia de hemangiomas, con gran proliferación vascular4,5.
La clínica en el síndrome de Ollier suele aparecer en la primera década de la vida, habitualmente como masas de consistencia ósea en los dedos, pero también puede manifestarse como acortamiento o deformidades de extremidades o con fracturas patológicas. En el síndrome de Maffucci existen lesiones al nacimiento en el 25% de los casos y aparición de éstas antes de la pubertad en el 80%4–6.
La etiopatogenia del síndrome Ollier es aún desconocida. Aunque se considera una enfermedad de aparición espontánea existen trabajos en los que se han identificado mutaciones en el gen del receptor de la hormona paratiroidea (PTHR1, 3p22-p21.1)5.
Los osteocondromas hipofisarios son muy infrecuentes, con menos de 20 casos descritos en la literatura médica. Tienen claro predominio femenino, con un pico de incidencia en la tercera década de la vida en los casos no asociados a enfermedades sistémicas. El origen es desconocido, pero se piensa que puede estar en los fibroblastos del diafragma selar1–3.
La clínica más frecuente se corresponde con defectos visuales, fundamentalmente la hemianopsia bilateral, por compresión del quiasma óptico o de pares craneales. Junto a éstos pueden aparecer síntomas de insuficiencia hipofisaria y, menos frecuentemente, síntomas de masa intracraneal1–4,7.
En los estudios de imagen, tomografía computarizada (TC) y resonancia magnética (RM), los hallazgos hipofisarios más frecuentes son las alteraciones de la silla turca, las calcificaciones intraselares (60%), la destrucción (50%), el agrandamiento, el edema peritumoral, etc1–3,8.
El diagnóstico diferencial es difícil ya que no existen características radiológicas patognomónicas; hay que hacerlo con otros tumores de posible aparición intraselar, como cordomas, meningiomas, craneofaringiomas y adenomas hipofisarios. La anatomía patológica es clave en su identificación.
Los encondromas que afectan a las extremidades y que cursan de forma asintomática requieren un simple seguimiento. Por el contrario, la presencia de complicaciones (fracturas patológicas, defectos de crecimiento o malignización) es indicación de extirpación. La localización intraselar es siempre indicación de cirugía.
El riesgo de malignización en condrosarcomas es mayor en los casos asociados a enfermedad sistémica que en los casos aislados. En la enfermedad de Ollier se estima un riesgo de malignización (condrosarcoma) entre el 20 y el 50% de los casos. En los casos de síndrome de Mafucci este riesgo de malignización es mayor. Los signos que deben vigilarse son la erosión cortical, la invasión de tejidos blandos así como la irregularidad de la superficie tumoral7–10.
En nuestro caso, debido a las dificultades técnicas, sólo ha sido posible la extirpación parcial de la masa, que debe completarse en un futuro para evitar complicaciones.




