Presentamos el caso de un niño de 6 años que acudió a urgencias tras traumatismo casual en antebrazo derecho.
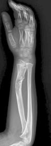
A la exploración física presentaba dolor y deformidad de dicho antebrazo. Se realizó radiografía simple, evidenciándose lesiones óseas displásicas en radio y cúbito derechos, así como una fractura patológica en el radio (fig. 1).
Posteriormente en la serie ósea completa, se comprobó la existencia de múltiples lesiones metafisodiafisarias con trabeculación y patrón escleroso en hemicuerpo derecho (fig. 2).
Se realizó una RM de antebrazo (fig. 3) donde se observaron infiltrados condrales de arquitectura lobular con calcificaciones de baja intensidad. La biopsia percutánea de radio confirmó el diagnóstico de encondromatosis múltiple o enfermedad de Ollier.
La enfermedad de Ollier1 es una displasia esquelética no hereditaria, poco frecuente (prevalencia 1/100.000), caracterizada por la aparición asimétrica de lesiones condrales, cuyas manifestaciones clínicas aparecen en la primera década de la vida; fracturas patológicas, deformidades angulares, discrepancias de longitud y hasta un 30% malignizan hacia condrosarcomas2.
El diagnóstico diferencial debe incluir la displasia fibrosa, los infartos óseos y el condrosarcoma de bajo grado.
El tratamiento quirúrgico está indicado en caso de fracturas patológicas3, alteraciones de crecimiento o malignización, donde se realizan curetajes y osteotomías correctoras.





