Introducción
La enfermedad de Castleman o hiperplasia angiofolicular es una entidad poco frecuente enmarcada dentro de los trastornos linfoproliferativos. Esta enfermedad fue descrita inicialmente por Castleman en 1956 después de analizar una serie de casos de tumoraciones en mediastino que se presentaban predominantemente en mujeres, tenían un comportamiento benigno y estaban constituidos por hiperplasias linfoides caracterizadas por un centro germinal y una marcada proliferación capilar 1.
En pediatría es una entidad muy poco frecuente. En la literatura médica se han descrito hasta la actualidad 86 casos. Se presenta de forma localizada en forma de una masa mediastínica muy vascularizada. La resección de la lesión está asociada a un elevado riesgo de hemorragia. Recientemente se ha introducido la embolización prequirúrgica para disminuir el riesgo de hemorragia quirúrgica.
Se presenta el caso clínico de una paciente de 12 años con enfermedad de Castleman localizada en mediastino en la que se utilizó con éxito la embolización prequirúrgica.
Observación clínica
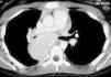
Niña de 12 años, sin antecedentes personales de interés que acudió a nuestro servicio de urgencias refiriendo cuadro catarral con tos escasamente productiva de 15 días de evolución. La exploración física mostró como único hallazgo una hipofonesis en hemitórax izquierdo. El estudio con radiografía simple puso de manifiesto una masa en el mediastino medio y posterior. En la TC se observaba una gran masa localizada en mediastino medio y posterior que captaba contraste de forma homogénea y que comprimía el bronquio principal derecho (fig. 1). La prueba de la tuberculina resultó negativa. El aspirado de médula ósea puso de manifiesto una celularidad normal y los marcadores tumorales analíticos (enolasa, catecolaminas, β -gonadotropina coriónica humana [β -HCG]) fueron negativos. Ante la sospecha diagnóstica de enfermedad de Castleman se realizó un estudio angiográfico de la lesión, que puso de manifiesto una masa hipervascularizada a expensas de un tronco intercostobronquial derecho y una arteria bronquial anómala con origen en tronco tirocervical derecho que pudieron ser embolizados sin complicaciones (fig. 2). Se practicó una resección completa de la masa por toracotomía posterolateral derecha. El estudio macroscópico de la pieza quirúrgica reveló una masa de superficie lisa y parcialmente cubierta por una membrana elástica de coloración blanquecina (fig. 3). Los hallazgos microscópicos correspondían a un ganglio linfático de estructura conservada, con hiperplasia difusa de centros germinales, que adoptaban un patrón "en bulbo de cebolla", la mayoría de ellos con hialinización en relación a la permeación por vasos finos y delicados (figs. 4 y 5). Inmunofenotípicamente se descartó la enfermedad de Hodgkin. Se diagnosticó de enfermedad de Castleman: hiperplasia angiofolicular linfoide variedad hialinovascular.
Figura 1.TC torácica: masa localizada en mediastino medio y posterior con compresión de bronquio principal derecho.
Figura 2. Angiografía torácica: masa hipervascularizada a expensas de un tronco intercostobronquial derecho y una arteria bronquial anómala con origen en tronco tirocervical derecha.
Figura 3. Tumoración con superficie externa lisa encapsulada, coloración parda, de 6,2 x 5,4 x 4,3 cm.
Figura 4.Folículo linfoide de centro claro con hialinización interfolicular y del centro germinativo en relación con la penetración radial de vasos delicados desde la periferia. (Hematoxilina-eosina, x250.)
Figura 5. Hiperplasia difusa de folículos linfoides con evidencia de centros germinativos claros. (Hematoxilina-eosina, x25.)
Discusión
La enfermedad de Castleman, también conocida como hiperplasia angiofolicular, es una entidad poco frecuente, excepcional en pediatría, que se caracteriza por una hiperplasia linfoide reactiva. Su etiología es desconocida pero se cree que corresponde a una estimulación antigénica crónica de probable etiología viral o a una alteración en la regulación de los factores de crecimiento que conduce a una proliferación anómala de células plasmáticas 2,3. Se presenta en adultos jóvenes, especialmente en mujeres. Existen en la literatura médica descritos 86 casos de enfermedad de Castleman en niños con edades comprendidas entre los 2 meses y los 17 años con un ligero predominio en niñas 4.
Clínicamente se distinguen dos formas de enfermedad, la localizada y la multicéntrica.
La forma localizada, de buen pronóstico, representa la forma de presentación más frecuente. Se presenta en más del 70 % de los casos en forma de masa mediastínica y se puede encontrar en localización cervical y abdominal. Generalmente es asintomática en el momento del diagnóstico. En ocasiones aparecen signos de compresión de estructuras adyacentes 5,6. La resección de la lesión es curativa.
Las formas multicéntricas, descritas mayoritariamente en pacientes inmunodeprimidos, tienen un comportamiento más agresivo y se han relacionado con el linfoma no hodgkiniano. Afectan a adultos de edad más avanzada (edad media de 57 años) y son más frecuentes en los varones. Se presentan en forma de múltiples linfadenopatías y hepatoesplenomegalia asociadas a un cortejo sintomático inespecífico como fiebre, astenia y pérdida de peso. Son frecuentes en las formas multicéntricas las alteraciones analíticas (velocidad de sedimentación alargada, trombocitopenia, leucopenia, proteinuria, entre otras). Aproximadamente una tercera parte de los pacientes con formas multicéntricas desarrollan enfermedades malignas como linfomas no hodgkinianos, sarcomas de Kaposi y otros carcinomas. Esta forma es excepcional en edad pediátrica, y de ella tan sólo se han descrito 11 casos 4. En las formas multicéntricas la resección quirúrgica no es suficiente. La evolución de las formas multicéntricas parece tener una mejor respuesta al tratamiento en el niño que en el adulto. La utilización de radioterapia, corticoides y quimioterapia específica han mejorado el pronóstico de esta variante de la enfermedad que todavía ahora presenta el 50 % de mortalidad en la población adulta.
Histológicamente la enfermedad de Castleman se clasifica en dos patrones distintos: la variedad hialinovascular y la variedad de células plasmáticas 3.
La forma hialinovascular es la más frecuente. Clínicamente se comporta como una linfadenopatía única, generalmente de localización mediastínica 1-3,7,8. Morfológicamente se caracteriza por hiperplasia folicular anómala con importante vascularización interfolicular. Cada folículo puede contener varios centros germinales. La mayoría de los folículos se encuentran rodeados de una densa red capilar que penetra hasta llegar al centro germinal. Algunos de los centros foliculares están rodeados por una estrecha capa de pequeños linfocitos que confieren una típica imagen "en bulbo de cebolla" (fig. 5). Los centros germinales de esta entidad están constituidos mayoritariamente por células dendríticas, células endoteliales de la red capilar y pocas células B. Este patrón histológico del centro germinal en la variante hialinovascular no es específico de la enfermedad de Castleman, pues puede encontrarse en nódulos linfáticos de pacientes con sida y en asociación con linfadenopatías angioinmunoblásticas 5.
La variante histológica plasmocelular se relaciona mayoritariamente con la forma diseminada o multicéntrica de la enfermedad. En la variedad plasmocelular la arquitectura del nódulo linfático está conservada y esta variante se caracteriza por la presencia de abundantes células plasmáticas en el espacio interfolicular.
Los hallazgos clínicos y de imagen en la enfermedad de Castleman son inespecíficos y requieren un diagnóstico de confirmación basado en el estudio histológico. Para el diagnóstico de la enfermedad se requiere la resección completa del ganglio afectado. La biopsia por aspiración no es útil para el diagnóstico. En las formas localizadas de la entidad la resección completa es curativa 6. La importante red capilar que rodea el folículo la convierte en una masa extremadamente vascularizada y con un riesgo muy elevado de hemorragia relacionado con el acto quirúrgico. Varios grupos han utilizado recientemente la angiografía y la embolización selectiva prequirúrgica como técnica para facilitar el tratamiento y minimizar las complicaciones de la intervención quirúrgica relacionadas con la hemorragia masiva 3,9. Los resultados descritos en la literatura médica se corresponden con los de nuestro caso. La utilización de la embolización prequirúrgica en el tratamiento de la enfermedad de Castleman localizada puede ayudar a disminuir el riesgo de hemorragia asociada a la intervención quirúrgica, por lo que debe ser planteada en el abordaje quirúrgico de esta entidad.
 
										
				











