Presentamos el caso de un varón de 7 años ingresado en UCIP por disminución del nivel de conciencia y vómitos en contexto de cuadro febril. La RM muestra hallazgos sugestivos de trombosis de senos venosos, sin signos de hipertensión intracraneal (HTIC). Recibe tratamiento con cefotaxima, metilprednisolona y anticoagulantes. Se realiza ecografía a pie de cama por el intensivista pediátrico mediante doppler transcraneal, valoración de la vaina y papila del nervio óptico (fig. 1), sugestivos de HTIC. Se llevan a cabo ecografías seriadas lo que permite evaluar la respuesta al tratamiento (figs. 2 y 3).
1a) Ecografía ocular de papila del nervio óptico (PNO) izquierdo el primer día de ingreso del paciente. La elevación/protrusión de 1,5mm de la papila supera los puntos de corte de 0,6mm propuestos ante sospecha de HTIC e incluso aquellos más exigentes de 1mm en HITC confirmada, así como los rangos revisados (0,6-1,2mm) para el papiledema2. 1b) Ecografía de control a los 5 días, tras inicio de tratamiento y mejoría clínica del paciente donde no se visualiza la protrusión de PNO.
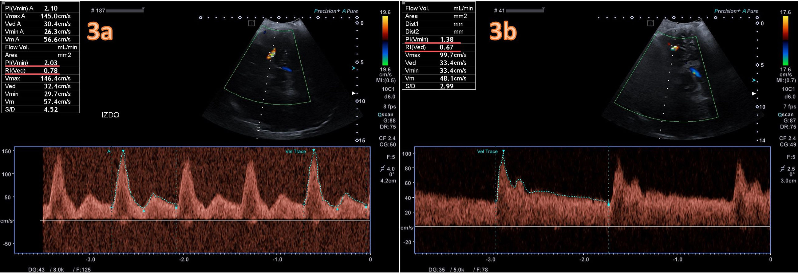
3a) Doppler transcraneal del flujo de arteria cerebral media izquierda a través de la ventana transtemporal al diagnóstico. Trazado patológico inicial con IP 2,1, e IR 0,78 que sugieren elevada PIC. 3b) Medición a los 5 días de tratamiento con cambio en el trazado y disminución de ambos índices, IP 1,38, e IR 0,67.
La ecografía en el paciente neurocrítico de la elevación de la papila del nervio óptico es una técnica sencilla y fiable de realizar por médicos no oftalmólogos. Una elevación mayor de 0,6mm es un dato de sospecha de HTIC1, así como los rangos revisados (0,6-1,2mm) en una revisión sistemática en papiledema2. Este dato, sumado al aumento del diámetro de la vaina del nervio óptico y el doppler transcraneal, se presentan como una herramienta precoz, sencilla y más completa ante casos sugestivos de HTIC donde la medición de la PIC ni la fundoscopia estén disponibles3.
La trombosis de senos venosos puede presentarse con clínica de HTIC, pudiendo diagnosticarse precozmente y monitorizarse mediante ecografía a pie de cama.
Conflicto de interesesLos autores declaran no tener ningún conflicto de intereses.





