Los quistes aracnoideos suponen un 1% de las masas intracraneales en la infancia. Aunque habitualmente asintomáticos, de forma infrecuente dan clínica por su rotura traumática o espontánea. La técnica de imagen de elección para el diagnóstico de los quistes aracnoideos es la resonancia magnética nuclear (RM) cerebral. Presentamos el caso de un quiste aracnoideo complicado con hemorragia secundaria a su rotura, dando lugar a un hematoma subdural subagudo/crónico.
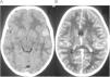
Niño de 7 años sin antecedentes personales de interés que consulta por cefalea holocraneal de un mes de evolución, con vómitos matutinos. No refieren ningún traumatismo craneal reciente. Se realiza fondo de ojo en el que se aprecia edema de papila bilateral. En la tomografía computerizada (TC) craneal realizada a continuación se observa una lesión hiperdensa en cisura de Silvio (fig. 1-A). En la TC con contraste, se aprecia un hematoma subdural subagudo-crónico hemisférico izquierdo, con moderado efecto masa que desplaza línea media (fig. 1-B). En la RM craneal se aprecia una colección extra-axial en lóbulo temporal izquierdo y cisura de Silvio con contenido hemático comunicado con el hematoma subdural (figs. 2 y 3), compatible con quiste aracnoideo complicado. Se realiza craneotomía izquierda urgente con evacuación completa del hematoma subdural, siendo alta a los cinco días sin secuelas neurológicas. La angio-TC realizada 15 días más tarde descarta aneurismas cerebrales u otras causas de sangrado, persistiendo una imagen compatible con quiste aracnoideo silviano izquierdo. Actualmente el niño está asintomático, con seguimiento ambulatorio.





