El enfisema lobar congénito suele tratarse quirúrgicamente. Actualmente, se recomienda el término de hiperinsuflación lobar congénita, ya que se trata de un tejido pulmonar anatomopatológicamente sano, motivo por el que el manejo conservador puede ser una alternativa válida. Se presentan 4 casos diagnosticados de hiperinsuflación lobar congénita en los que se optó por el tratamiento conservador debido a su estabilidad clínica y en los que la evolución de los mismos ha sido satisfactoria con normalidad radiológica progresiva.
Congenital lobar emphysema used to be treated surgically. Congenital lobar hyperinflation is the currently recommended term, as it involves pathologically healthy lung tissue, which is why conservative management may be an option. Four cases of diagnosed congenital lobar hyperinflation are presented in which conservative treatment was chosen due to their clinical stability. Their outcome has been satisfactory with progressively normal radiology.
Las malformaciones congénitas del pulmón y las vías aéreas constituyen un amplio espectro de anomalías del desarrollo, algunas de las cuales pueden permanecer asintomáticas y descubrirse accidentalmente en estudios de imagen1.
Aunque no son raras, su frecuencia es difícil de precisar, habiéndose publicado porcentajes de 7,5 al 18,7%2. Son responsables de una importante morbilidad en recién nacidos, lactantes, niños e incluso en el adulto y representan la segunda causa de mortalidad precoz en lactantes tras las anomalías del sistema cardiovascular3.
El enfisema o hiperinsuflación lobar congénita es una malformación relacionada con una anomalía cartilaginosa (50%) o del tejido de sostén. Esta alteración provoca un mecanismo valvular que permite la entrada de aire en un lóbulo al mismo tiempo que dificulta su salida2. Se presenta con mayor frecuencia en los lóbulos superiores de uno u otro pulmón y, ocasionalmente, en el lóbulo medio del pulmón derecho o en otras zonas, pudiéndose observar desde los primeros momentos de la vida4.
Suele considerarse la cirugía (lobectomía) como primera opción terapéutica en pacientes sintomáticos1.
Se presentan 4 casos tras revisión de historias clínicas (con autorización previa de los padres y/o tutores) en los que el manejo fue conservador, no quirúrgico, dada la estabilidad clínica de los pacientes.
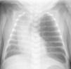
Casos clínicosPaciente 1Lactante de 3 meses, sin antecedentes clínicos de interés, que acude a urgencias por cuadro de dificultad respiratoria, precedido de catarro de vías altas los días anteriores. En la radiografía y la TC de tórax se objetiva un área de hiperinsuflación lobar a nivel del lóbulo superior izquierdo (LSI) (fig. 1).
Tras resolverse el cuadro de infección respiratoria aguda, queda asintomática, decidiéndose tratamiento conservador y seguimiento en consulta de neumología infantil.
Su evolución es satisfactoria, sin nuevas reagudizaciones clínicas. A los 6 años de edad, la radiografía de tórax mostraba ya normalización. Actualmente, con 17 años de edad, permanece asintomática, con pruebas funcionales respiratorias normales.
Paciente 2Recién nacido varón de 20 días de vida, sin antecedentes personales de interés, que acude a urgencias por cuadro de 24 h de evolución caracterizado por decaimiento, emesis, fiebre y analítica compatible con infección del tracto urinario. No refieren sintomatología respiratoria salvo respiración ruidosa. Se encuentra clínicamente estable, con tolerancia oral adecuada y sin compromiso respiratorio, apreciándose hipoventilación en campo superior izquierdo. En una radiografía de tórax se objetiva hiperinsuflación del hemitórax izquierdo con desplazamiento mediastínico contralateral (fig. 2); en la TC se comprueba marcada hiperinsuflación del LSI, con disminución del calibre de los vasos compatible con enfisema obstructivo, indicativo de enfisema lobar del LSI.
Se completó el estudio realizándose broncoscopia flexible apreciándose un bronquio principal izquierdo de estructura y funcionalidad normal, salvo a nivel distal (carina de bifurcación de LSI y língula), donde se objetivó un colapso de la luz bronquial —estimado en un 80-90%—, debido a mucosa redundante e importante malacia. Dada la ausencia de repercusión respiratoria del paciente, tras la resolución del proceso infeccioso que motivó su ingreso, se decidió su alta hospitalaria con tratamiento conservador del enfisema y seguimiento de su evolución clínica. En el momento actual, el paciente tiene 7 meses de edad, se encuentra asintomático y acude a revisiones periódicas en la consulta de Neumología Infantil.
Paciente 3Lactante de 3 meses de edad, sin antecedentes personales ni familiares de interés, que acude al servicio de Urgencias por cuadro de 5 días de evolución consistente en tos congestiva frecuente, fiebre de hasta 38,8°C en las últimas 48 h, dificultad respiratoria progresiva y rechazo de la alimentación en las últimas horas. En la exploración, destacaba una taquipnea de 60rpm con tiraje sub e intercostal con quejido y SaO2 a aire ambiente del 92%; su auscultación respiratoria evidenciaba hipoventilación global, con crepitantes en ambos campos pulmonares. En la radiografía de tórax se objetivó hiperinsuflación generalizada de ambos pulmones y LSI, con herniación a través de la línea media. El VRS en moco nasal resultó positivo, procediéndose al ingreso con diagnóstico de bronquiolitis y sospecha de hiperinsuflación lobar congénita, evolucionando bien con tratamiento conservador.
Se completó el estudio con TC de tórax (fig. 3) y broncoscopia flexible, objetivándose un bronquio del LSI marcadamente obstruido (estimación de un 80% de la luz) debido a malacia de la pared, con bronquios subsegmentarios igualmente malácicos. Se observaron durante toda la exploración datos inespecíficos de hiperreactividad bronquial. Dada la estabilidad clínica respiratoria, se optó por un manejo conservador. Durante su seguimiento (actualmente tiene 10 meses), no se han producido incidencias, encontrándose asintomática.
Paciente 4Lactante de 24 días de vida, sin antecedentes personales de interés, diagnosticada prenatalmente (en la semana 19.ª) (fig. 4) de sospecha de enfermedad quística pulmonar que acude a consulta de Neumología Infantil de forma programada para completar estudio. Se encontraba asintomática destacando solo en la exploración una hipoventilación leve en el hemitórax izquierdo en la auscultación. En la radiografía de tórax se apreciaba un aumento de densidad a nivel parahiliar izquierdo y en la TC de tórax se objetivó hiperclaridad pulmonar que afectaba a gran parte del LSI (segmento ápico-posterior y anterior, respetando língula), con disminución del número y el calibre de los vasos, hallazgos compatibles con enfisema obstructivo, planteándose como primera posibilidad diagnóstica la de hiperinsuflación lobar congénita. A los 6 meses de edad, su situación clínica es estable, sin compromiso respiratorio.
DiscusiónEl enfisema lobar congénito o, mejor llamado, hiperinsuflación lobar congénita es probablemente el resultado de una anomalía bronquial que genera una situación valvular en la que es posible la entrada de aire en el parénquima del lóbulo afectado mientras que está dificultada la salida de dicho aire1,3. Se prefiere el término «hiperinsuflación» en lugar de «enfisema» debido a que se trata de un parénquima pulmonar que, en la mayoría de los casos, es sano, es decir, una zona de parénquima pulmonar cuya única alteración es la hiperinsuflación, siendo histológicamente normal. El término enfisema es anatomo-patológico, por lo que se reserva para aquellos casos en los que el parénquima está afectado.
Los síntomas suelen manifestarse al nacimiento en el 33% de los casos, durante el primer mes de vida en el 50% y la mayoría antes del año de edad. El resto se puede manifestar como un hallazgo casual5,6. Su diagnóstico es radiológico, siendo la TC torácica el método de elección, la cual permite excluir posibles anomalías mediastínicas asociadas responsables del mismo. La técnica de TC multicorte con reconstrucción broncoscópica virtual ha sido en utilizada en algún caso con buenos resultados7, aunque la broncoscopia flexible sigue siendo en la actualidad el procedimiento diagnóstico más fiable para identificar algunas de las posibles anomalías, como broncomalacias, que pueden ser la causa de la hiperinsuflación localizada8.
Hoy en día, a pesar de la mayor difusión de las pruebas de diagnóstico prenatal (ecografía y, sobre todo, resonancia magnética), sigue siendo muy difícil de identificar y en la mayoría de las ocasiones el diagnóstico es posnatal, al necesitar ventilación para manifestarse9.
En cuanto al tratamiento, clásicamente se ha considerado la lobectomía del lóbulo afectado como tratamiento de elección en estos pacientes10. Si bien es cierto que la intervención quirúrgica es curativa, en los casos sin compromiso vital y estabilidad clínica tras la resolución de las infecciones respiratorias intercurrentes, se puede optar por un tratamiento conservador, sobre todo si la exploración broncoscópica es normal11-13. Este proceder puede seguirse de resolución progresiva del mismo y, a largo plazo, el crecimiento pulmonar suele ser normal14.
Las anomalías broncopulmonares tienen una amplia variabilidad en su expresión clínica, habiendo sido hasta ahora el tratamiento quirúrgico la primera opción terapéutica.
En el caso del «enfisema lobar congénito», dada la normalidad del parénquima pulmonar, si el paciente se encuentra asintomático o las exacerbaciones respiratorias se toleran adecuadamente, el manejo conservador debería ser el tratamiento de elección, si bien es cierto que en algunos casos son verdaderas urgencias, por lo que sí estaría justificado el tratamiento quirúrgico urgente.
A día de hoy, el término «enfisema lobar congénito» subsidiario de lobectomía continúa siendo objeto de discusión.
Conflicto de interesesLos autores declaran no tener ningún conflicto de intereses.






