Introducción
El neuroblastoma es el tumor sólido extracraneal más frecuente en la edad pediátrica. La presentación clínica es variable en función de la localización del tumor primario o de las metástasis. El hallazgo de una masa abdominal es la forma más frecuente de presentación de estos tumores. También es habitual el diagnóstico de una masa cervical, paravertebral u orbitaria 1. La forma de presentación como ictericia obstructiva es excepcional y sólo existen 4 casos descritos en la literatura anglosajona 2-5.
Presentamos el caso de un paciente que empezó con una ictericia obstructiva como forma de presentación de un neuroblastoma abdominal.
Caso clínico
Se trata de un varón de 4 años y 4 meses que consultó a su pediatra por presentar desde hacía 12 días coloración amarillenta de la piel de forma generalizada asociada a dolor abdominal inespecífico ocasional. Desde hacía 5 días refería orina de color coca-cola y heces pálidas. No presentaba sintomatología constitucional. Los antecedentes personales no tenían interés para el caso. Exploración física: peso: 18,600 kg; superficie corporal: 0,75 m 2; temperatura 36,6 °C; presión arterial 100/60 mmHg; frecuencia cardíaca 96 lat./min. Buen estado general; ictericia grado IV generalizada en piel y mucosas. No presentaba ni prurito ni diátesis hemorrágica; tampoco adenopatías significativas. El abdomen estaba blando y depresible, no doloroso, con discreta hepatomegalia de 2-3 cm bajo reborde costal. En el resto de la exploración, no había hallazgos significativos.
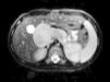
Bioquímica sanguínea: bilirrubina total 4,32 mg/dl (rango normal: 0,3-1,30), bilirrubina directa 3,42 mg/dl (rango normal 0,0-0,30), GOT 103 U/l (rango normal: 28-64), GPT 178 U/l (rango normal: 15-48), fosfatasa alcalina 2.402 U/l (rango normal: 122-290), GGT 497 U/l (rango normal: 8-30), LDH 540 U/l (rango normal: 120-460). Enolasa neuronal específica: 31 μg/l (rango normal: 0-12,5). Alfafetoproteína normal. Hemograma normal. La serología para virus hepatotropos fue negativa. En las pruebas de imagen (ecografía, tomografía computarizada [TC] y resonancia magnética) se visualizaba una masa sólida de contornos bien definidos de 6 x 5 x 4 cm que crecía en torno a los vasos mesentéricos, tronco celíaco y se prolongaba hacia el hilio hepático comprimiendo la vía biliar y desplazando la cabeza del páncreas. La lesión se situaba en un plano más bajo que la glándula suprarrenal y no parecía relacionarse con ella (fig. 1). Gammagrafía con MIBG con 123 I: se apreciaba marcado depósito del radiotrazador en la zona infrahepática que descendía hasta el flanco derecho continuando de forma lineal en región epigástrica y mesogástrica. Se extendía hacia el hipocondrio y flanco izquierdos, dibujando una masa de forma ovalada en el lado derecho y otra de menor tamaño redondeada en el lado izquierdo, ambas conectadas en su parte interna con gran necrosis en el interior de toda la masa descrita (fig. 2). Catecolaminas en orina: ácido vanilmandélico: 10,65 μg/mg creatinina (rango normal: 2-10), ácido homovanílico 6,63 μg/mg creatinina (rango normal: 3-20).
Figura 1. Resonancia magnética abdominal del tumor.
Figura 2. Gammagrafía con MIBG con 123 I de la lesión.
Se realizó biopsia quirúrgica de la tumoración abdominal y se confirmó el diagnóstico de neuroblastoma. Análisis molecular: gen N-MYC no amplificado; brazo corto del cromosoma 1 no delecionado. En el estudio de extensión (TC torácica, gammagrafía con Tc y biopsia de médula ósea) no se detectaron metástasis. Con todos los hallazgos se clasificó como neuroblastoma estadio 3 e inició tratamiento según protocolo SIOP/Europa para neuroblastoma irresecable en mayores de un año.
Durante su evolución, en las primeras semanas las cifras máximas de patrón colestásico fueron bilirrubina total 18,3 mg/dl (rango normal: 0,3-1,30), bilirrubina directa 11,8 mg/dl (rango normal: 0,0-0,30), GOT 236 U/l (rango normal: 28-64), GPT 167 U/l (rango normal: 15-48), fosfatasa alcalina 2.402 U/l (rango normal: 122-290), GGT 1.080 U/l (rango normal: 8-30).
Tras el primer ciclo de quimioterapia con carboplatino (200 mg/m 2 x 3 días) y etopósido (150 mg/m 2 x 3 días) presentó la desaparición progresiva de la ictericia cutaneomucosa y una normalización del aspecto de las heces y orina. Las cifras de transaminasas y bilirrubina se normalizaron. La lesión fue disminuyendo de tamaño, conforme fue realizando el tratamiento. En total recibió 3 ciclos con carboplatino + etopósido alternando con 3 ciclos tipo CADO (ciclofosfamida 300 mg/m 2 x 5 días + vincristina 1,5 mg/m 2 x 2 días + doxorrubicina 30 mg/m 2 x 2 días). Tras finalizar el tratamiento 5 meses después del diagnóstico, persistía una masa retroperitoneal residual irresecable de menor tamaño que englobaba el tronco celíaco y portahepatis, además de presentar pequeñas adenopatías retroperitoneales adyacentes que se biopsiaron y fueron informadas como infiltración por neuroblastoma con mayor diferenciación que el tejido inicial. El estudio de gammagrafía con MIBG con 123 I fue negativo. Las catecolaminas en orina persistían ligeramente elevadas: ácido vanilmandélico 10,54 μg/mg creatinina (rango normal: 2-10). Posteriormente, se administró radioterapia sobre el lecho tumoral (dosis total: 21 Gy). La evaluación al finalizar el tratamiento radioterápico demostró una disminución significativa del tamaño tumoral (4 x 3 x 1 cm) con ausencia de adenopatías; catecolaminas en orina negativas; gammagrafía con MIBG negativa, y enolasa neuronal específica normal. Al año del diagnóstico el paciente se encuentra asintomático.
Discusión
El neuroblastoma es el tumor sólido extracraneal más frecuente en la edad pediátrica. Más del 60 % de los casos se diagnostican en niños menores de 5 años. Se origina en las células de la cresta neural (médula adrenal y ganglios paraespinales del sistema nervioso parasimpático). Los síntomas más comunes son secundarios a la compresión de estructuras adyacentes a la masa tumoral o a la infiltración de los tejidos causada por las metástasis (óseas, hepáticas, ganglionares, cutáneas, médula ósea). La localización más frecuente es la abdominal (65 %), y se suele manifestar como una masa dura y fija de gran tamaño que cruza la línea media, planteando el diagnóstico diferencial con el tumor de Wilms. Otras localizaciones típicas son la torácica en el mediastino posterior, presentándose como un hallazgo casual en la radiografía de tórax o como una insuficiencia respiratoria o compresión medular. La localización cervical suele iniciarse en forma de masa laterocervical u ocasionalmente como un síndrome de Horner (ptosis, miosis, enoftalmos y anhidrosis).
Alrededor del 70 % de los pacientes con neuroblastoma presentan metástasis en el momento del diagnóstico. Las manifestaciones clínicas más frecuentes de estas metástasis son: proptosis o equimosis periorbitaria, por infiltración orbitaria; dolor óseo o irritabilidad por infiltración ósea (denominado en el caso de afectación craneal como neuroblastoma tipo Hutchinson); anemia, trombocitopenia o neutropenia secundarios a la pancitopenia por afectación de la médula ósea; hepatomegalia masiva por infiltración hepática (síndrome de Pepper), o aparición de múltiples nódulos cutáneos secundarios a la infiltración de la piel (neuroblastoma de tipo Smith). También están descritos como forma de presentación los síntomas paraneoplásicos: diarrea acuosa grave por secreción de péptido intestinal vasoactivo, ataxia, opsoclonías y mioclonías (encefalopatía opsoclonomioclónica o síndrome de Kingsbourne) 1.
La ictericia obstructiva suele ser un signo de enfermedad a cualquier edad. En la población adulta, las causas más frecuentes de obstrucción de la vía biliar son las neoplasias de origen pancreático o biliar, que suelen tener mal pronóstico. Sin embargo, en la edad pediátrica la ictericia obstructiva suele estar causada por procesos inflamatorios o litiasis. Rara vez la causa suele ser una neoplasia maligna, y se ha descrito algún caso de ictericia obstructiva secundaria a la compresión de la vía biliar producida por rabdomiosarcomas, linfomas o neuroblastomas 6.
Hasta la fecha se han descrito en la literatura médica 8 pacientes con ictericia obstructiva causada por neuroblastoma. Tan sólo cuatro de ellos presentaban este síntoma al diagnóstico 2-5,7-9. En la mayoría de los casos descritos se precisó de alguna técnica quirúrgica como la colecistostomía para la mejoría de la ictericia obstructiva 3,6. En nuestro caso la sintomatología del paciente se resolvió tras el primer ciclo de quimioterapia, y no fue necesario realizar ninguna técnica quirúrgica adicional. En los 4 casos descritos en la literatura especializada que presentaron ictericia obstructiva al diagnóstico, como nuestro paciente, el tumor era irresecable al diagnóstico y únicamente en uno de los pacientes fue posible realizar una resección completa de la masa tras la quimioterapia (tablas 1 y 2).
La ictericia obstructiva en la edad pediátrica debe incluir en su diagnóstico diferencial la patología tumoral. El tratamiento de la ictericia obstructiva secundaria a la compresión de la vía biliar extrahepática por neuroblastoma u otros tumores en la edad pediátrica no siempre es quirúrgico. La resolución de la ictericia obstructiva en nuestro paciente con el tratamiento quimioterápico exclusivo así lo demuestra.
Correspondencia: Dr. A. Lassaletta Atienza.
Servicio de Oncología Pediátrica. Hospital Infantil Universitario Niño Jesús.
Avda. Menéndez Pelayo, 65. 28009 Madrid. España.
Correo electrónico: lassaalvaro@yahoo.com
Recibido en agosto de 2005.
Aceptado para su publicación en septiembre de 2005.






