La neurocisticercosis es una infestación encefálica por el estadio larvario (cisticerco) de las tenias, generalmente Taenia solium. Es una enfermedad infrecuente hasta ahora en Europa, pero emergente en la actualidad por la inmigración desde países endémicos1.
La manifestación clínica más frecuente son las convulsiones (hasta en un 70%2), habitualmente parciales, y la neurocisticercosis es la causa más frecuente de epilepsia secundaria en el mundo3, especialmente en países endémicos; suelen ser crisis motoras parciales. Otra posible expresión son las cefaleas, generalmente sin hipertensión intracraneal. Los déficits neurológicos focales son más raros.
El diagnóstico se basa en datos clínicos y epidemiológicos y en estudios serológicos y de neuroimagen: tomografía computarizada y resonancia magnética (RM). Una situación especialmente complicada para el clínico es la presencia de una lesión solitaria, que obliga a realizar un diagnóstico diferencial con otros procesos. A continuación se presenta un caso de crisis convulsiva secundaria a una lesión neurocisticercoide única, con especial atención a los criterios diagnósticos y a la quimioterapia antiparasitaria en su manejo.
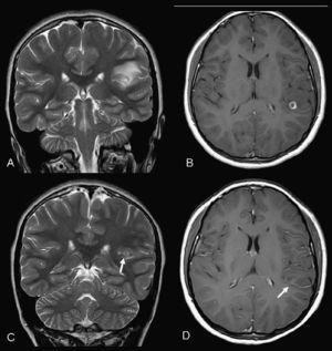
Caso clínicoMujer de 12 años de origen boliviano (residente desde hace 15 meses en España), que ingresa por episodio de desconexión del medio, sialorrea y disartria de 20 min de duración, seguidas de estupor e hipotonía de 15 min de duración. Recuperación completa. No refiere antecedentes de interés. La RM cerebral (fig. 1) muestra una lesión esferoidea temporoparietal izquierda de 9 mm rodeada de edema con realce periférico tras la administración de gadolinio, lo que plantea el diagnóstico diferencial entre quiste cisticercoide y astrocitoma. Las serologías para cisticerco en sangre y líquido cefalorraquídeo son negativas y la valoración oftalmológica no muestra quistes. Tras tratamiento con mebendazol (21 días) y prednisona (1 mg/kg) la paciente está asintomática desde el punto de vista neurológico. La RM de control (6 meses después de la crisis) evidencia una disminución del diámetro lesional y la desaparición del edema vasogénico.
Figura 1. A) Resonancia magnética (RM) al diagnóstico turbo spin echo (TSE) T2 coronal. B) RM al diagnóstico spin echo (SE) T1 poscontraste axial. C) RM postratamiento TSE T2 coronal. D) RM postratamiento SE T1 poscontraste axial. Lesión quística con un pequeño nódulo mural, subcortical temporoparietal izquierda de 9 mm de tamaño, con importante edema vasogénico y realce anular compatible con un estadio vesiculocoloidal. En el control postratamiento (flechas) ha disminuido de tamaño, con desaparición del edema y un fino realce periférico residual (estadio nodulogranular).
DiscusiónLas lesiones parenquimatosas únicas son una forma de presentación frecuente de la neurocisticercosis, especialmente en algunas regiones endémicas, como la India. Se trata de una enfermedad habitualmente autolimitada; sin embargo, en nuestro medio es un problema diagnóstico por la posibilidad de confundirse con otros procesos intracraneales de mayor gravedad, como neoplasias o abscesos.
Clínicamente, los nódulos parenquimatosos solitarios por cisticerco suelen presentarse con crisis convulsivas (más de un 90% de los pacientes sintomáticos4), a menudo parciales simples motoras, con o sin generalización secundaria; más raramente se observa estatus epiléptico. Las crisis pueden ser aisladas o repetidas, y es frecuente su aparición en series, con un período libre de 2 o 3 días. Algunos pacientes afectados pueden presentar episodios de cefalea de intensidad moderada a grave, bien en períodos intercomiciales o bien aisladamente (hasta en un 2,5% de los casos5), en general sin signos de hipertensión intracraneal. Los déficits focales son raros. La localización más frecuente es la unión corticosubcortical de los hemisferios cerebrales, preferentemente en el lóbulo parietal.
El hallazgo de una lesión única con hipercaptación de contraste en anillo y de edema vasogénico plantea un complejo diagnóstico diferencial con otras entidades, principalmente tuberculomas, abscesos, malformaciones vasculares y neoplasias.
Los estudios serológicos tienen una utilidad limitada. Las 2 técnicas más importantes son el ELISA (enzyme-linked immunosorbent assay‘técnica de radioinmunoanálisis’) y el inmunoblot; este último goza de una elevada especificidad, sin embargo, su sensibilidad ante quistes solitarios alcanza un máximo del 49%6.
Varios trabajos han intentado establecer protocolos diagnósticos que permitan un adecuado tratamiento clínico, lo que evitaría intervenciones neuroquirúrgicas innecesarias. Destacan los criterios propuestos por Del Brutto2 y por Rajshekhar y Chandy en 19977 (tabla 1). La escisión se reservaría para casos de duda diagnóstica, como en aquellos nódulos que por tamaño8 o clínica no cumplan los requisitos mencionados. A pesar de la utilidad de estos criterios, la situación epidemiológica del lugar de procedencia del paciente (decisiva a la hora de formular la sospecha diagnóstica en el caso descrito previamente) y un seguimiento clinicoradiológico estrecho (en intervalos de 2 o 3 meses) son las principales armas. Sería además necesario plantear estudios prospectivos que permitan adaptar éstos y otros criterios a nuestro contexto epidemiológico.
Tabla 1. Criterios diagnósticos de granuloma cerebral solitario por cisticerco (Rajshekhar et al, 1997)
| Criterios clínicos |
| Convulsiones (parciales o generalizadas) como manifestación inicial |
| Ausencia de signos de hipertensión intracraneal persistente |
| Ausencia de déficit neurológico focal progresivo |
| Ausencia de pruebas de enfermedad sistémica activa |
| Criterios radiológicos |
| Lesión única en TC con hipercaptación de contraste en anillo |
| Diámetro máximo menor de 20 mm |
| Ausencia de desplazamiento de estructuras de la línea media |
TC: tomografía computarizada. Todos éstos deben cumplirse para establecer el diagnóstico.
El tratamiento cisticida con praziquantel (75 mg/kg en un único día) se ha utilizado exitosamente para tratar el granuloma solitario (frente al seguimiento expectante)9, con reducción significativa en los estudios de neuroimagen; en nuestro medio su empleo se ve limitado por tratarse de un medicamento extranjero no comercializado en España. El albendazol (15 mg/kg/día) o el mebendazol (disponible comercialmente en solución pediátrica) en las lesiones únicas son más controvertidos, aunque hay datos recientes que demuestran que su uso temprano puede acelerar la resolución10.
Autor para correspondencia.
H. Avellón Liaño
Dirección: havlipedia@gmail.com



