En la práctica diaria, ante un niño que acude a urgencias con vómitos biliosos, hay que descartar obstrucción intestinal. Pero en un niño mayor con vómitos no biliosos raramente se sospecha obstrucción y, si se descarta el origen no digestivo y no hay signos de defensa ni distensión abdominal, se maneja con tratamiento sintomático. Sin embargo, es posible la obstrucción. En general, se realiza radiografía abdominal ante un cuadro de vómitos sólo si son biliosos y si hay distensión abdominal o defensa muscular abdominal.
Presentamos un caso de obstrucción intestinal con vómitos no biliosos en un niño mayor.
Niña de 11 años de edad que acude al servicio de urgencias por dolor abdominal y vómitos de 6 días de evolución. El dolor abdominal es periumbilical, cólico, progresivo en intensidad y le despierta por la noche; los vómitos son diarios, de contenido alimentario o líquido, no biliosos, y en 2 ocasiones habían contenido pelo; la niña tiene, además, escasa tolerancia oral en las últimas 24 h. La última deposición es semilíquida, tras 5 días sin deposición. La paciente está afebril y presenta halitosis, anorexia y pérdida de peso. Como antecedentes, destacan episodios autolimitados de dolor abdominal y vómitos. Al interrogar a la madre, ésta refiere tricomanía en la niña.
En la exploración física, la niña presenta abdomen blando, con dolor supraumbilical difuso, defensa voluntaria, ruidos hidroaéreos normales, sin signos de irritación peritoneal y fosas ilíacas libres. No presenta placas de alopecia.
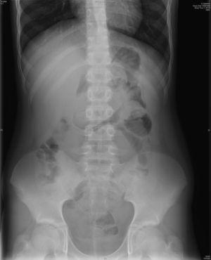
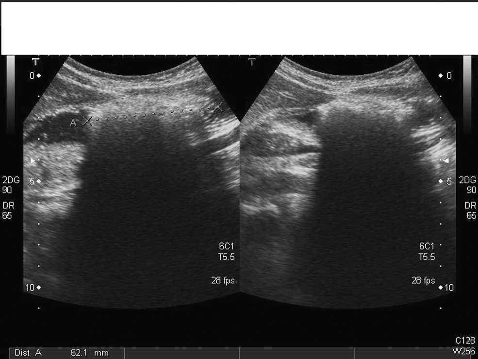
Se inicia tratamiento sintomático. Ante la persistencia de los vómitos, se realiza radiografía abdominal, en la que se visualiza el estómago con contenido y distribución normal de gas intestinal. En la ecografía abdominal se visualiza (fig. 1) el estómago distendido, con una imagen hiperecogénica de 6 cm de longitud en el antro, ovalada y que impide el vaciamiento gástrico (posible cuerpo extraño). Se realiza una interconsulta a cirugía y la paciente ingresa. Durante el ingreso se realiza tránsito digestivo (fig. 2) que confirma la presencia de una masa densa en el estómago que ocupa toda la cavidad gástrica y deja pasar contraste. Se interviene quirúrgicamente a la paciente para la extracción del tricobezoar mediante gastrostomía. Durante el ingreso inició una evaluación psicológica.
Figura 1. Ecografía de abdomen: imagen hiperecogénica ovalada en estómago de 6 cm de longitud con sombra acústica posterior.
Figura 2. Tránsito digestivo superior: pone de manifiesto masa densa heterogénea en estómago que ocupa toda la cavidad gástrica.
El tricobezoar es una enfermedad infrecuente, que aparece sobre todo en niñas y jóvenes (el 90% en niñas menores de 20 años)1–3 y que es causa de obstrucción intestinal. El bezoar es una masa compacta de material extraño deglutido que se localiza generalmente en el estómago, pero puede pasar al intestino. Se clasifica según el material: tricobezoar (pelo), fitobezoar (fibra), lactobezoar (leche) y miscelánea. El tricobezoar es una de las complicaciones de la tricomanía. La DSM-IV (Diagnostic and Statistical Manual of Mental Disorders, Fourth Edition‘Manual diagnóstico y estadística de los trastornos mentales, cuarta edición’) considera a la tricomanía como un trastorno del control del impulso, dentro del espectro del trastorno obsesivo-compulsivo4.
Los síntomas del tricobezoar son dolor abdominal, náuseas, vómitos, anorexia, saciedad temprana, debilidad, pérdida de peso y masa abdominal. Sin diagnóstico puede dar lugar a complicaciones serias: obstrucción intestinal, perforación, pancreatitis, invaginación, hemorragia intestinal por gastritis, ictericia obstructiva, enteropatía pierdeproteínas y anemia. Puede haber alteración del patrón de deposiciones1,3,4. A menudo pasa desapercibido porque no se menciona la historia de tricofagia. El diagnóstico se basa en la clínica y en las pruebas de imagen. La radiografía abdominal no es diagnóstica (masa heterogénea en el estómago que puede confundirse con un estómago lleno de comida), y se debe confirmar con tránsito digestivo (el contraste identifica una masa intraluminal y libre). La ecografía (imagen hiperecogénica con sombra acústica) y la tomografía computarizada (la imagen más característica es una masa intraluminal heterogénea con patrón de aire moteado, y es más sensible para definir la localización) son las pruebas más fiables5–7. Mediante la laparoscopia se visualiza y ésta puede ser eficaz en la extracción, pero a menudo requiere laparoscopia o laparotomía2,3,8. Se recomienda tratamiento psiquiátrico para prevenir recidivas.
La obstrucción gástrica se presenta como vómitos no biliosos, dolor epigástrico cólico, anorexia y, a veces, hemorragia gastrointestinal. Las causas incluyen membranas antrales, páncreas heterotópico, úlcera péptica, tumores gástricos, enfermedad granulomatosa crónica, gastroenteritis eosinofílica, enfermedad de Crohn, cuerpo extraño y bezoar9.
Aunque los vómitos no biliosos, fuera del lactante pequeño, son signo infrecuente de obstrucción gástrica, su presencia no permite descartarla. Por esto, desempeña un papel importante la anamnesis y la clínica (vómitos progresivos y frecuentes, con intolerancia oral), que nos llevará a realizar pruebas de imagen que son diagnósticas. La radiografía de abdomen puede mostrar distribución de gas anómala, y es preciso completar el estudio con una ecografía o tránsito digestivo superior para llegar al diagnóstico.
En la mayoría de los protocolos de urgencias pediátricas, los vómitos no biliosos se tratan de manera sintomática, y se realizan pruebas de imagen urgente si hay defensa o distensión abdominal.
Con el fin de evitar un diagnóstico tardío, se deben revisar los protocolos de vómitos en la urgencia pediátrica para contemplar la posibilidad de una obstrucción gástrica en niños mayores e introducir pruebas de imagen válidas (ecografía y radiografía con contraste) ante la persistencia de vómitos no biliosos.
Autor para correspondencia.
B. Jiménez Montero
Dirección: bjimenez.hulp@salud.madrid.org




