La hiperplasia epitelial focal o enfermedad de Heck es una afección benigna consistente en la aparición de lesiones papilomatosas en los labios, la lengua y la mucosa oral, que crecen lentamente y van confluyendo. Se asocia mayoritariamente a los serotipos 13 y 32 del virus del papiloma humano (VPH), predominando en población pediátrica, sexo femenino y bajo nivel socioeconómico o inmunosupresión. El diagnóstico es clínico, aunque se recomienda realizar diagnóstico histológico, que además permitirá el diagnóstico diferencial con otras enfermedades y la detección del VPH1. La mayoría de los casos regresan espontáneamente en meses o años, por lo que solo se tratan si existe gran afectación estética o traumatismos de repetición2.
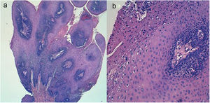
Se presenta el caso de una niña de 12 años de origen saharaui derivada a consulta de otorrinolaringología por lesiones en la boca (fig. 1A). Fue diagnosticada previamente de enfermedad de Heck por biopsia y tratada con imiquimod tópico sin mejoría. Refiere sangrado al hablar y al comer. Se realiza estudio analítico que descarta inmunodeficiencia. Dada la afectación estética y funcional se decide escisión quirúrgica de las lesiones, con buen resultado tras la intervención. La biopsia presenta hallazgos compatibles con lesión por papilomavirus (fig. 2).
A. Lesiones de aspecto papilomatoso en la mucosa labial, el dorso y la punta de la lengua. Presentaba lesiones similares en las encías, la mucosa yugal y paladar blando y duro. Se descartan lesiones faríngeas o laríngeas por fibrolaringoscopia. B y C. Recidiva con aumento de lesiones en los labios y en la lengua, aunque en menor cuantía y de menor tamaño que previamente a la intervención quirúrgica. D. Regresión completa de las lesiones tras actitud expectante.
Tres meses después de la cirugía, tras un mes de estancia en Argelia, se aprecia reaparición de algunas lesiones (figs. 1B y C), aunque de menor tamaño. Dada la tendencia a la regresión se decide adoptar una actitud expectante, con resolución completa de la clínica a los 20 meses de la intervención, un trimestre después de su vuelta a España (fig. 1D).




