Introducción
La osteomielitis crónica multifocal recurrente (OCMR) es una enfermedad que se presenta en niños y adultos jóvenes, poco frecuente, de etiología desconocida, caracterizada por afectación ósea multifocal, de evolución clínica subaguda o crónica con remisiones. El diagnóstico se realiza por los hallazgos clínicos, radiológicos y excluyendo una causa microbiológica y causa tumoral por el estudio microbiológico e histológico de la biopsia. El tratamiento se realiza principalmente con antiinflamatorios no esteroideos (AINE), aunque se dispone de otras alternativas. Las secuelas son raras.
Pacientes y métodos
Se revisaron, retrospectivamente, las historias clínicas de los pacientes que fueron diagnosticados de OCMR en nuestro hospital entre 1989 y 2002. Los criterios diagnósticos de OCMR fueron los propuestos por Handrick et al 1 (tabla 1). En cada paciente se recogieron las características demográficas (edad y sexo), las manifestaciones clínicas y radiológicas y la evolución de la enfermedad.
Resultados
Se identificaron 5 niños con OCMR. La distribución por edades, sexo y año de presentación se representa en la tabla 2. El motivo de consulta en todos los pacientes fue dolor e impotencia funcional, que en algunas ocasiones se acompañaron de fiebre moderada (tabla 3). Dos pacientes tuvieron más de una lesión, pero en el resto la lesión ósea fue única. Las localizaciones más frecuentes fueron: metáfisis de huesos largos, clavícula, costilla y columna. En un paciente (caso 3) estuvo afectado el cartílago.
Los datos analíticos se muestran en tabla 4. Los primeros 3 casos tenían anemia para los límites normales para su edad. En los casos en que se realizó velocidad de sedimentación esta se encontraba elevada. Si al comienzo de la enfermedad se realizaba determinación de proteína C reactiva esta se mostraba elevada, y se normalizaba rápidamente.
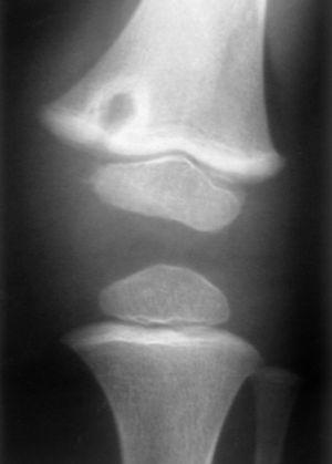
El aspecto radiológico de la lesión era variable, dependiendo del momento evolutivo (tabla 5). Al inicio del cuadro se ponía de manifiesto una lesión osteolítica de bordes bien definidos, mientras que las lesiones más tardías tenían un borde escleroso a su alrededor (figs. 1 y 2).
Figura 1. Radiografía de la lesión osteolítica metafisoepifisaria distal de fémur izquierdo (caso 3).
Figura 2. Radiografía de la lesión metafisoepifisaria distal de fémur izquierdo con bordes esclerosos (caso 3).
La RM ayudaba a delimitar mejor las lesiones y la existencia de afectación de partes blandas.
La gammagrafía ósea con tecnecio 99 presentaba un aumento de captación en la lesión en todos los pacientes, pero en dos de ellos reveló otras localizaciones que no habían producido sintomatología. En 3 casos sólo captaba una única localización.
A los 5 pacientes se les realizó biopsia de tejido óseo y cultivo lesional de bacterias (aerobias y anaerobias), micobacterias y hongos con resultados negativos. En 4 casos, además, se hizo Mantoux y serología de Brucella que fueron negativos.
En todos los pacientes se realizó estudio anatomopatológico (tabla 6). Había predominio de polimorfonucleares en la fase aguda, que posteriormente se sustituían, en fases más avanzadas, por un infiltrado de predominio mononuclear con linfocitos y células plasmáticas.
Antes de tener los resultados de los cultivos y la anatomía patológica de la biopsia, los diagnósticos en 2 casos eran de osteomielitis crónica inespecífica, una osteomielitis aguda y en los otros 2 casos se pensó en una enfermedad tumoral. Posteriormente, debido a la negatividad de los cultivos y el resultado de la anatomía patológica, que mostraba inflamación y descartaba una enfermedad tumoral, y cumpliéndose la mayoría de los criterios de Handrick et al 1, se diagnosticaron los 5 casos de osteomielitis crónica multifocal recurrente.
Desde el punto de vista terapéutico (tabla 7), 3 pacientes recibieron antibióticos (cloxacilina y cefalosporinas de primera generación) como tratamiento inicial, por sospecha de etiología infecciosa. Una vez diagnosticada la OCMR, el tratamiento se realizó con AINE en dosis antiinflamatorias.
En todos los casos al iniciar el tratamiento con AINE mejoró la sintomatología, y la evolución fue favorable, excepto en un caso en el que la enfermedad recurrió al suspender el antiinflamatorio. En esta paciente (caso 4) se utilizó azitromicina como tratamiento alternativo, durante 2 meses, produciéndose una clara mejoría de la sintomatología. Sin embargo, mientras recibía este tratamiento presentó un cuadro de hipertensión intracraneal benigna con cefalea, vómitos, edema de papila y sin alteraciones en la TC y la RM, que obligó a suspenderlo. Debido a constantes recidivas de la osteomielitis se inició tratamiento con calcitonina intranasal, con resultados poco satisfactorios.
La duración de los episodios una vez comenzado el tratamiento se expone en la tabla 8, aunque la radiología tardó mucho más tiempo en normalizarse. La evolución fue favorable, sin recidivas ni secuelas en todos los casos, excepto en una paciente que en la actualidad persiste la sintomatología con múltiples recaídas y con secuelas por afectación masiva del cuerpo vertebral de T7, que ha producido una escoliosis y el paciente precisa utilizar corsé.
Discusión
La OCMR fue descrita por primera vez en 1972 por Giedion et al 2. Desde entonces se han descrito aproximadamente 200 casos en la literatura médica.
Esta enfermedad es más frecuente en el sexo femenino, en una proporción mujer:varón de 4:1 3. Se cree que esta enfermedad es la variante pediátrica del síndrome de SAPHO (Sinovitis, Acné, Pustulosis, Hiperostosis, Osteítis) 4.
La etiología es desconocida. Las diferentes teorías incluyen: un proceso autoinmune, etiología infecciosa por un microorganismo no conocido o causa genética. Se ha descrito la OCMR asociada a otras enfermedades autoinmunes como la colitis ulcerosa, que apoyan que se trate de una enfermedad autoinmune. Además las dos enfermedades responden al mismo tratamiento, AINE en la OCMR y derivados salicílicos en la colitis ulcerosa 5. Respecto a la etiología infecciosa, se cree que se podría tratar de un microorganismo de crecimiento lento, que precisa de medios especiales de cultivo y no los comunes; esto explicaría el curso crónico de esta enfermedad durante años y una inadecuada respuesta a los antibióticos 6. Por último, apoyando la etiología genética, se ha descrito una mutación recesiva en el cromosoma 18 de los ratones, que se asocia a una enfermedad similar a la humana 7.
Los síntomas y signos clínicos son insidiosos. Pueden cursar con febrícula y la sintomatología local es de un proceso inflamatorio (rubor, tumor, dolor e impotencia funcional). El estado general es bueno al contrario de las osteomielitis bacterianas 1.
La media de lesiones óseas es aproximadamente de cinco. En nuestra serie hay 3 casos con una única lesión, pero estos cumplen el resto de los criterios que definen esta entidad. La mayoría de los pacientes, aun teniendo varias lesiones, sólo tienen una lesión sintomática 4. Las metáfisis de los huesos largos son las zonas principalmente afectadas 1. Estas lesiones en ocasiones son simétricas. La clavícula es una de las localizaciones que se afecta con cierta frecuencia, más comúnmente implicada en el síndrome de SAPHO 8 (fig. 3).
Figura 3. RM que muestra una lesión de desdoblamiento cortical inferior del extremo proximal de la clavícula (caso 2).
La OCMR se ha asociado, en ocasiones, con otras enfermedades como psoriasis (caso 1 de nuestra serie), pustulosis palmoplantar, síndrome de Sweet y enfermedad inflamatoria intestinal 5.
Los hallazgos analíticos en otras series muestran una velocidad de sedimentación ligeramente elevada (> 20 mm/h), pero no tan elevada como en las osteomielitis agudas bacterianas. El hemograma usualmente es normal. El factor reumatoide y HLA-B27 son positivos en algunos casos; no ocurrió así en nuestra serie en la que el factor reumatoide realizado en 3 casos fue negativo 6.
Los hallazgos radiográficos dependen de la fase de la enfermedad. Con lesiones asintomáticas o de inicio se objetiva una imagen osteolítica comparable a una osteomielitis aguda, sin esclerosis marginal. Con el paso del tiempo la osteólisis disminuye y se muestra una esclerosis marginal 1.
La RM y la TC pueden proporcionar datos de implicación de articulaciones adyacentes y tejidos blandos, sobre todo en etapas tempranas de la enfermedad 8.
La gammagrafía ósea constituye una exploración necesaria, ya que detecta las lesiones asintomáticas y aquellas que la radiología no pone de manifiesto 9.
Los hallazgos histológicos no son específicos, pero se debe hacer una biopsia que descarte una enfermedad tumoral u osteomielitis infecciosa. En etapas precoces se observa un infiltrado compuesto por polimorfonucleares y en estadios tardíos, linfocitos y células plasmáticas 4.
Los cultivos de estas lesiones son negativos para bacterias, aerobias y anaerobias, micobacterias y hongos, dato indispensable para el diagnóstico de OCMR 9.
Reconocer esta entidad es importante para evitar tratamientos antibióticos prolongados y procedimientos invasivos innecesarios, una vez que el diagnóstico se ha establecido 6. El diagnóstico diferencial incluye osteomielitis bacteriana subaguda (absceso de Brodie) y esclerosante (enfermedad de Garre), tumores (osteoma osteoide, sarcoma de Ewing), histiocitosis X, metástasis, leucemia y trauma 1.
El tratamiento de elección son los AINE a los cuales responden la mayoría de los pacientes. Otros tratamientos utilizados son los corticoides y el interferón con resultados variables 10. Los antibióticos se han demostrado ineficaces en esta enfermedad 9.
La azitromicina se ha descrito como tratamiento eficaz en la OCMR, por su efecto antiinflamatorio e inmunomodulador, y no se encuentra en la literatura médica trabajos con otros macrólidos 11. Nuestra paciente (caso 4) tuvo una respuesta excelente a la azitromicina, pero desarrolló una hipertensión intracraneal benigna coincidiendo con esta medicación, sin encontrar otra causa desencadenante, por lo que se suspendió este tratamiento.
El tratamiento con calcitonina se ha utilizado en pacientes con dolor óseo producido por osteoporosis, con resultados satisfactorios por el efecto analgésico que se cree ser similar al inducido por morfina 12.
Un esquema recientemente recomendado para esta enfermedad está basado en la combinación de azitromicina con calcitonina. 13 Otra opción terapéutica son los bifosfonatos por su acción inhibidora de la resorción del hueso 14-16.
El curso de la enfermedad es variable, con recaídas (una media de cuatro) e intervalos asintomáticos, con una duración media de la enfermedad de 5 años. El pronóstico a largo plazo es favorable, sin secuelas y con desaparición de los brotes. Sin embargo, en algunos pacientes la enfermedad persiste y, además, están en riesgo de padecer complicaciones físicas y psíquicas 2. No se ha constatado ninguna secuela en el paciente que en nuestra serie tuvo una lesión que perforó el cartílago de crecimiento a pesar de que este se ha mantenido hasta la actualidad.
Se puede concluir que la OCMR es una enfermedad cuya etiología sigue sin conocerse claramente y cuyo diagnóstico se basa en hallazgos clínicos, de laboratorio, radiológicos y anatomopatológicos, y se debe incluir en el diagnóstico diferencial de toda lesión ósea lítica. Esta enfermedad responde al tratamiento antiinflamatorio, aunque habrá que determinar cuál es el antiinflamatorio más eficaz y si se beneficia con la combinación con otros tratamientos como la calcitonina o los bifosfonatos.













