A girl age 7years was referred to our unit for evaluation of scoliosis without a relevant family history. She had a history of hemivertebra, detected prenatally.
The findings of the physical examination were: height, 115.3cm (2nd percentile; z-score, −2.14); weight, 20.4kg (10th percentile; z-score, −1.29). The actual height differed from the expected height. The upper/lower segment ratio was 0.9; the arm span, 114cm; the sitting/standing height ratio was 0.497 (21st percentile; z-score, −0.81). No dysmorphia. The patient had a short and wide thorax, pectus excavatum and prominent ribs. Tanner 1 stage of pubertal development. The blood panel and karyotyping results were normal.
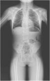
The plain radiograph (Fig. 1) and magnetic resonance imaging (Fig. 2) of the spine evinced abnormalities, and the next generation sequencing skeletal dysplasia panel (463 genes) identified a compound heterozygous variant, NM_016941.3:c.[988G>T];[1312T>C], p.[(Gly330Cys)];[(Cys438Arg)], in the DLL3 gene. Each parent carried one of the alternate alleles. Both were classified as variants of uncertain significance by the American College of Medical Geneticists.
Jarcho-Levin syndrome, also known as spondylocostal dysostosis (OMIM #277300) is an autosomal recessive genetic disease characterized by segmentation defects of the vertebrae.1,2 It should be suspected in individuals presenting with short stature, short neck and trunk asymmetries and is confirmed in imaging tests by the presence of anomalies such as hemivertebrae, block fusion or rib deformities. The results of genetic testing suggested that the identified changes in DLL3 could be the cause of dysplasia, but did not allow confirmation of the diagnosis, as they were variants of uncertain significance. The management consists of supportive care, and infection is the most frequent complication.3
FundingThis research did not receive any external funding.
Conflicts of interestThe authors have no conflicts of interest to declare.


