Se trata de una niña remitida a los 7 años por escoliosis, sin antecedentes familiares. Sí tenía antecedente prenatal de hemivértebra.
Los datos de la exploración física fueron los siguientes: talla de 115,3cm (P2, –2,14 DE); peso de 20,4kg (P10, –1,29 DE). Discordancia de talla con talla diana. Cociente segmento superior/segmento inferior: 0,9; braza: 114cm; talla sentado/talla: 0,497 (P21, –0,81 DE). Ausencia de dismorfias. Tórax ancho y corto, pectus excavatum, costillas prominentes. Tanner 1. Analítica y cariotipo normales.
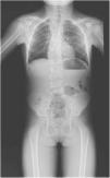
En el estudio radiológico (fig. 1), la resonancia magnética de columna (fig. 2) y el panel de secuenciación masiva de displasias esqueléticas (463 genes) se encontraron 2 variantes en heterocigosis compuesta, NM_016941.3:c.[988G>T];[1312T>C], p.[(Gly330Cys)];[(Cys438Arg)], en el gen DLL3. Ambos padres eran portadores de una de las variantes. Ambas fueron clasificadas como de significado incierto por el American College of Medical Geneticists.
RNM columna en proyección coronal y sagital (7 años y 10 meses). Segmento cervical: rectificación de la lordosis cervical fisiológica. Segmento dorsal: 9 pares de costillas. Hemivértebra derecha en D3 y D5-D6. D8-D9 con 2 hemivértebras. D10 hemivértebra rudimientaria. Ausencia de D11 y D12.
El síndrome Jarcho-Levin o disostosis espondilocostal (MIM 277300) es una enfermedad genética autosómica recesiva caracterizada por defectos en la segmentación vertebral1,2. El diagnóstico se sospecha ante presencia de talla baja, cuello corto y asimetría de tronco y se confirma radiológicamente al presentar hemivértebras, fusiones vertebrales o malformaciones costales. Los resultados genéticos indican que las variantes identificadas en DLL3 serían la causa de displasia sin permitir confirmar el diagnóstico, al ser de significado incierto. El tratamiento es de soporte, cuya principal complicación son las infecciones3.
FinanciaciónNo se ha contado con ningún tipo de financiación.
Conflicto de interesesLos autores declaran no tener conflicto de intereses.




