Niña de 8 años de edad, sin antecedentes de interés, que consulta por cefalea supraciliar derecha intensa de dos semanas de evolución, acompañada de diplopía y tortícolis desde hace 3 días. Sin otalgia ni fiebre acompañante. La otoscopia muestra una membrana timpánica derecha abombada, con contenido en el oído medio. Se aprecia cierto enrojecimiento en la región mastoidea derecha. La exploración neurológica demuestra, en el lado derecho, una contractura del esternocleidomastoideo, hiperestesia de la región V1 del trigémino, parálisis de VI par craneal (fig. 1) y paresia del VII par craneal (fig. 2). El resto de la exploración y el fondo de ojo son normales.
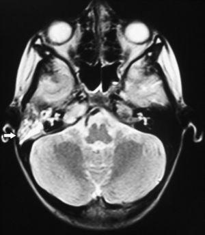
Se realiza una resonancia magnética cerebral, donde se observa ocupación del oído medio y celdillas mastoideas derechas, con compromiso del ápice del peñasco (fig. 3).
Tras el ingreso hospitalario y el tratamiento con drenaje, corticoides y cefotaxima intravenosa, la paciente presenta buena evolución clínica sin secuelas neurológicas.
La afectación del VI par craneal asociada o no al compromiso simultáneo de los pares V y VII, secundaria a petrositis apical mastoidea, como complicación evolutiva de una otitis media, constituye el síndrome de Gradenigo, entidad muy infrecuente en la actualidad1,2. Se trata de una complicación grave que requiere de un tratamiento inmediato para evitar secuelas permanentes2,3. Se debe a una extensión del proceso inflamatorio iniciado en el oído medio hacia la zona petrosa del hueso temporal2. Debe sospecharse en todo paciente con cefalea y parálisis del VI par craneal3,4. La niña no presentaba fiebre ni otalgia, y el diagnóstico se estableció por la exploración del tímpano y de la región mastoidea. Destacamos la importancia de la exploración completa, no sólo neurológica, en niños con cefalea asociada o no a otros síntomas neurológicos.





