Neonato con malformación arteriovenosa de la vena de Galeno e insuficiencia cardiaca congestiva secundaria connatal.
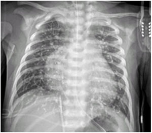
Se realiza una embolización urgente con coils a los 7 días de vida y una segunda embolización con cianoacrilato (Glubran®, cola quirúrgica) a los 26 días de vida. A las 2horas presenta cuadro agudo con llanto, irritabilidad, taquicardia y desaturación, precisando opiáceos a dosis elevadas. En control radiográfico se visualiza material radiopaco en vasos arteriales compatible con microembolismo pulmonar por cianoacrilato (fig. 1). Empeoramiento de la insuficiencia cardiaca congestiva e hipertensión pulmonar que precisa milrinona.
Evolución favorable. Estable respiratoriamente con oxigenoterapia en gafas nasales. Los controles radiográficos no muestran complicaciones, persistiendo cianoacrilato en el árbol vascular. Tras 3 días se retiran milrinona y oxigenoterapia.
El embolismo pulmonar por cianoacrilatos en estos procedimientos no es infrecuente1. La mayoría de los casos son asintomáticos. Es importante un alto índice de sospecha ante un deterioro clínico agudo las horas siguientes a una embolización con cianoacrilato, así como valorar la pertinencia de un estudio radiográfico urgente2. El manejo terapéutico y la necesidad de anticoagulación en estos casos no están bien establecidos.
 
										
				



