We present the case of a newborn with an arteriovenous malformation of the vein of Galen and secondary congenital heart failure.
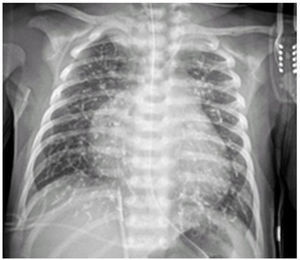
The newborn underwent an emergency coil embolization at 7 days post birth and a second embolization with cyanoacrylate (Glubran surgical glue) at 26 days post birth. Two hours after, he experienced an acute episode of crying, irritability, tachycardia and desaturation that required treatment with high-dose opiates. The follow-up radiograph showed radio-opaque material in the arteries compatible with pulmonary glue microembolism (Fig. 1). Milrinone had to be administered due to worsening of congestive heart failure and pulmonary hypertension.
The patient had a favourable outcome. Respiratory stability was achieved with oxygen therapy delivered through nasal prongs. Follow-up radiographs found no further complications, while cyanoacrylate persisted in the vascular tree. Milrinone and oxygen therapy were withdrawn after 3 days.
Pulmonary glue embolism is not a rare event after this type of procedure.1 In most cases, it is asymptomatic. It is important to keep a high level of suspicion in patients that experience acute clinical deterioration in the hours following embolization with cyanoacrylate and to consider whether an emergency radiographic evaluation is indicated.2 The therapeutic approach and need of anticoagulant treatment in these cases have yet to be clearly established.
										
				


