La dentinogénesis imperfecta (DI) es un trastorno hereditario raro del desarrollo de la dentina con patrón autosómico dominante caracterizado por decoloración y apariencia translúcida de la dentición tanto temporal como permanente1. Estudios previos sugieren que la DI afecta a aproximadamente 1 de cada 6.000 a 8.000 individuos2. A día de hoy, el gen de la sialofosfoproteína dentinaria (DSPP) es el único gen causante de enfermedad conocido para la DI, habiéndose identificado más de 50 mutaciones heterocigotas3.
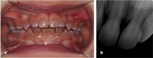
Presentamos el caso de un varón de 7meses derivado a la consulta de odontología pediátrica por el pediatra de cabecera por la decoloración amarillenta y apariencia translúcida ambarina de los dientes temporales (fig. 1A). Las radiografías periapicales mostraron la obliteración de dos tercios de las cámaras pulpares sin alteraciones apreciables en el grosor del esmalte, la estructura de la corona o el tamaño de las raíces (fig. 1B). El estudio de los antecedentes familiares reveló anomalías dentales similares en el padre, la abuela paterna, un tío abuelo paterno y la bisabuela paterna del paciente (fig. 2). La secuenciación del gen DSPP en el paciente detectó una nueva variante probablemente patogénica [c.3047del p.(Ser1016llefs*298)] que podría explicar el caso presentado.
En casos de alteraciones genéticas de los dientes, el diagnóstico y la derivación precoces a un odontólogo pediátrico son cruciales para prevenir el deterioro y la pérdida dental tempranas2. El caso presentado subraya la importancia del papel de los pediatras en el reconocimiento de signos tempranos de alteraciones dentales que frecuentemente pasan desapercibidas y que pueden tener un impacto negativo en el bienestar físico y psicológico del niño.




