A neonate born preterm at 32+5 weeks of gestation was admitted to the intensive care unit at 28h post birth due to respiratory failure in the context of hyaline membrane disease. Due to respiratory distress, he required sedation and intubation.
The physical examination revealed hypospadias and globus vesicalis on palpation. Due to the absence of spontaneous urination, urinary catheterization was attempted (with a Ch 6 Foley catheter, 4 Ch feeding tube and 0.035-inch guide wire) unsuccessfully. Given the absence of spontaneous urination and the failure of catheterization, the decision was made to perform a suprapubic puncture.
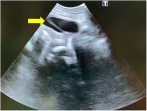
Under ultrasound guidance, the puncture was performed in the hypogastrium with a 16G angiocatheter (Fig. 1). The needle was removed and a 0.018-inch guide wire passed through the lumen to the bladder. A 3 Ch, 12cm long double-J stent was then passed over the wire and through the angiocatheter (Sof-Flex® Multi-Length Stent Set; Cook Medical, Bloomington, IN, USA), with verification of its correct placement by ultrasound (Figs. 2–3). The stent was fixed with 5-0 polypropylene monofilament and set to drain into an ostomy bag.
We believe that this technique is less traumatic than other options such as puncture with a trocar or the Seldinger technique (which requires dilation), as it reduces the risk of bleeding due to performance of a single puncture with the angiocatheter. In addition, the intravesical pigtail prevents accidental stent dislodgment.
We propose this type of procedure as an alternative to urinary diversion in cases in which urinary catheterization cannot be achieved.1





