Presentamos el caso de un recién nacido a término con diagnóstico prenatal en la 21.a semana de gestación, en otro centro, de hipoplasia del ventrículo derecho, hipoplasia tricúspide y estenosis valvular pulmonar. Parto en el SAMU durante el traslado desde su domicilio, sin otras incidencias. El test de Apgar fue de 9 al minuto y de 10 a los 5min. El peso al nacimiento fue de 3.075g. No hubo antecedentes personales ni familiares de interés. Ingresa en la sala general de Neonatología para estudio. La SatO2 fue del 98%.
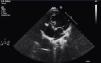
El fenotipo es normal. No hay anomalías a la exploración física. Presenta cardiomegalia ligera (ICT=0,65), sin anomalías en la vascularización pulmonar en la RX de tórax y crecimiento del ventrículo izquierdo, sin preexcitación en el ECG. La exploración ecocardiográfíca muestra la imagen que permitió el diagnóstico de miocardiopatía dilatada del ventrículo izquierdo con moderada depresión de la función sistólica (VItd=28mm y VIts=23mm; FEVI=0,44), con la presencia de aneurisma del septo interventricular (ASIV) muscular, que bambolea bidireccionalmente (figs. 1–3) sin cortocircuitos en este nivel. Las coronarias son normales. Se inicia tratamiento con captopril (1mg/kg/día) y tras un período de observación de una semana con ausencia de clínica se otorga el alta al domicilio.
En las revisiones posteriores en consultas externas, el paciente ha completado con normalidad los hitos del desarrollo y se ha mantenido asintomático desde el punto de vista cardiológico, con curva ponderal ascendente, sin incidencias referidas. El estudio con registro Holter fue normal. Los estudios genéticos realizados (Catch 22 y CRM 20) han descartado estas anomalías.
El ASIV, congénito o adquirido, se define como una protuberancia o «abultamiento» anormal de una porción de la pared ventricular con o sin expansión sistólica paradójica. Se trata de una rara anomalía, que usualmente se describe en asociación con defectos del septo interventricular (la mayoría de las veces en el septo membranoso), como anomalías idiopáticas aisladas o asociado más raramente a otras cardiopatías congénitas, sobre todo del corazón derecho (atresia pulmonar con septo interventricular íntegro, agenesia de la válvula pulmonar y anomalía de Ebstein de la válvula tricúspide).
Existe un total de 12 casos descritos previamente en la literatura médica revisada. La etiología de estos casos no está clara, ya que se atribuyó a numerosas causas. Se ha postulado la posibilidad de una anomalía durante la formación del septo interventricular muscular intraútero de origen intrínseco o adquirido, debido a la enfermedad de Kawasaki prenatal, a las infecciones víricas, a las arritmias o a los fenómenos de isquemia aguda debido a anomalías coronarias. También se ha relacionado con enfermedades del tejido conectivo, como el síndrome de Ehlers-Danlos. Además, se puede comprobar la presencia de un posible rol genético, ya que existen casos en hasta 5 familias publicadas, sin llegar a establecer un patrón genético claro. En uno de los casos se comprobó una anomalía genética en el brazo corto del cromosoma 20 y en otro se supuso un patrón de herencia autosómico dominante. El diagnóstico prenatal permite su reconocimiento en períodos tempranos de la gestación y no existen casos publicados por debajo de la semana 19 de gestación.
En la mayoría de los casos se trata de fenómenos asintomáticos, cuya clínica depende de las repercusiones que tenga sobre la anatomía cardiaca, bien debido a obstrucción al flujo cardiaco (sobre todo en el tracto de salida del ventrículo derecho), bien por su progresión a miocardiopatía dilatada o bien por su asociación con trastornos en la conducción eléctrica cardiaca, sobre todo el síndrome de Wolff-Parkinson-White, y otros trastornos de la conducción intraventricular.
No existen claras recomendaciones en cuanto a la necesidad de tratamiento quirúrgico del ASIV, como fenómeno aislado, aunque en la bibliografía revisada se realizaron aneurismectomías en los casos en los que este producía obstrucción en el tracto de salida del ventrículo derecho y en otros se realizó de modo profiláctico justificado por el riesgo de rotura al ventrículo derecho, trombogenicidad o arritmias de riesgo vital.





