El síndrome inflamatorio multisistémico pediátrico asociado al SARS-CoV-2 (SIM-PedS) es una entidad descrita en relación con la infección activa o reciente por SARS-CoV-2. Aunque la etiopatogenia aún no está clara, se piensa que podría tratarse de una disregulación inmunitaria en la que el SARS-CoV-2 sería el desencadenante. Afecta a un pequeño porcentaje de los niños que contraen la infección, aunque en la definición de caso se tiene en cuenta también a los adultos jóvenes menores de 21años1.
Se describe el siguiente caso clínico por la peculiaridad de asociar clínica cervical y edema retrofaríngeo, que puede simular un absceso. Dadas la complejidad y la gravedad potencial del síndrome, es fundamental una sospecha clínica activa y un reconocimiento precoz para iniciar el tratamiento lo antes posible.
Paciente de 17años, sano, que acude al servicio de urgencias de adultos por presentar fiebre de 5días de evolución de hasta 39°C, dolor cervical inespecífico, con empeoramiento progresivo del estado general y lesiones cutáneas.
En el examen físico se observan labios secos y agrietados, sin exudados amigdalares, dolor a la palpación cervical posterior baja, sin adenopatías evidentes ni rigidez nucal. Asocia exantema macular en tronco y extremidades que desaparece a la digitopresión. Las constantes físicas a su llegada son: temperatura 39°C, SatO2 97%, FC 126lpm, PA 121/68mmHg.
En la analítica destacan: linfopenia de 270/mm3, trombocitopenia leve de 93.000/mm3, alteraciones de la coagulación (tasa de protrombina 51%, INR 1,57, fibrinógeno 682mg/l, TTPAm 30s), alteración de la función renal (creatinina 1,34mg/dl), hiponatremia de 125mEq/l, creatinin kinasa 309U/l y elevación de reactantes de fase aguda (PCR 348,4mg/l y PCT 30,99ng/ml). Además, PCR SARS-CoV-2 positiva (3,17logcop/ml), y en la radiografía de tórax no se evidencian alteraciones.
Inicialmente, ante la sospecha de sepsis, se administra ceftriaxona y vancomicina intravenosa de forma empírica y expansión de volumen. Posteriormente, dada la fiebre y la cervicalgia, se contacta con neurología para descartar meningitis, que recomienda la realización de TC craneal y punción lumbar, así como con cardiología, que realiza valoración ecocardiográfica. No se encuentran alteraciones en dichos estudios, por lo que se contacta con medicina interna, que indica realizar TC cervical.
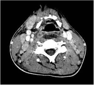
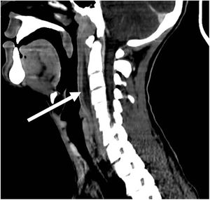
Se objetiva una colección laminar de 7,5×3,3×0,9cm, de paredes hipercaptantes, en espacio retrofaríngeo, extendiéndose desde C2 a C6 (fig. 1), y múltiples adenopatías laterocervicales bilaterales de aspecto reactivo (fig. 2). Con el hallazgo de posible absceso retrofaríngeo, se contacta con el servicio de otorrinolaringología, que decide ampliar el espectro de antibioterapia asociando meropenem y clindamicina, y manejo quirúrgico. Se realiza faringotomía posterior, con punción en diferentes puntos de la pared posterior, sin obtener material para cultivos.
Ingresa en la UCI en el postoperatorio inmediato, presentando inestabilidad hemodinámica y deterioro respiratorio brusco y progresivo en las siguientes 24horas, con aumento de las necesidades de oxígeno, taquipnea y trabajo respiratorio, por lo que se decide intubación y conexión a ventilación mecánica. En la radiografía de tórax se observan infiltrados compatibles con edema agudo de pulmón y marcado empeoramiento de la función cardíaca, con FEVI del 20%.
En este contexto, junto con el antecedente de infección por SARS-CoV-2 documentado microbiológicamente con una PCR positiva (6,72logcop/ml) tres semanas antes, cumple todos los criterios diagnósticos de SIM-PedS2. Se inicia corticoterapia (metilprednisolona 1g durante 5días, con descenso progresivo tras normalización de la función cardíaca), infusión de inmunoglobulinas intravenosas (1g/kg/dosis) dos días, y anticoagulación. Tras ello, mejoría progresiva clínica y analítica, pudiendo retirar el soporte inotrópico y respiratorio en los siguientes días. Al alta, la función cardiaca está normalizada.
Aunque la bibliografía publicada al respecto es escasa, se han descrito casos similares al nuestro. Todos ellos presentaron clínica cervical y hallazgos sugerentes de edema retrofaríngeo en las pruebas de imagen, y precisaron tratamiento con corticoides e inmunoglobulinas intravenosas3,4. No se debe olvidar, por tanto, que en ocasiones el SIM-PedS puede asociar edema retrofaríngeo, pudiendo confundirse con un absceso. Es fundamental mantener una sospecha activa y el reconocimiento precoz del cuadro, dada su potencial morbimortalidad y dado el tratamiento diferente al de una infección.
Su fisiopatología aún se desconoce, si bien podría justificarse por el aumento de la permeabilidad vascular que caracteriza al síndrome, al igual que se describe en la enfermedad de Kawasaki5,6. En la serie de casos publicada por Au et al.6 se remarca la necesidad de un adecuado diagnóstico diferencial, considerando la enfermedad de Kawasaki, incluso en las formas atípicas, dada su buena evolución con inmunoglobulinas, que evitaría la realización de procedimientos quirúrgicos innecesarios.
Por último, insistir en la importancia de mantener una alta sospecha diagnóstica de SIM-PedS dada su potencial gravedad. Se debe incluir siempre en el diagnóstico diferencial del paciente joven con fiebre y antecedentes de infección por SARS-CoV-2.
FinanciaciónNo se obtuvo financiación externa para este estudio.
Conflicto de interesesLos autores no tienen ningún conflicto de intereses que revelar.




